Antibody data
- Antibody Data
- Antigen structure
- References [0]
- Comments [0]
- Validations
- Immunohistochemistry [6]
Submit
Validation data
Reference
Comment
Report error
- Product number
- ARG52908 - Provider product page

- Provider
- Arigo
- Product name
- anti-CSF-1R antibody [SP211] (Ready-to-Use)
- Antibody type
- Monoclonal
- Antigen
- Synthetic peptide from human CSF-1R protein.
- Description
- Purified by protein A/G
- Reactivity
- Human
- Host
- Rabbit
- Isotype
- IgG
- Antibody clone number
- SP211
- Vial size
- 7 ml
- Concentration
- Ready to use
- Storage
- Aliquot and store at 2-8°C. Do not freeze. The antibody solution should be gently mixed before use.
- Handling
- The antibody solution should be gently mixed before use.
No comments: Submit comment
Supportive validation
- Submitted by
- Arigo (provider)
- Main image

- Experimental details
- Immunohistochemistry: Human Tonsil stained with CSF-1R antibody [SP211] (ARG52907)
- Submitted by
- Arigo (provider)
- Main image

- Experimental details
- Immunohistochemistry: Human Skin stained with CSF-1R antibody [SP211] (ARG52907)
- Submitted by
- Arigo (provider)
- Main image

- Experimental details
- Immunohistochemistry: Human Skin Squamous Cell Carcinoma stained with CSF-1R antibody [SP211] (ARG52907)
- Submitted by
- Arigo (provider)
- Main image

- Experimental details
- Immunohistochemistry: Human Colon stained with CSF-1R antibody [SP211] (ARG52907)
- Submitted by
- Arigo (provider)
- Main image

- Experimental details
- Immunohistochemistry: Human Lung stained with CSF-1R antibody [SP211] (ARG52907)
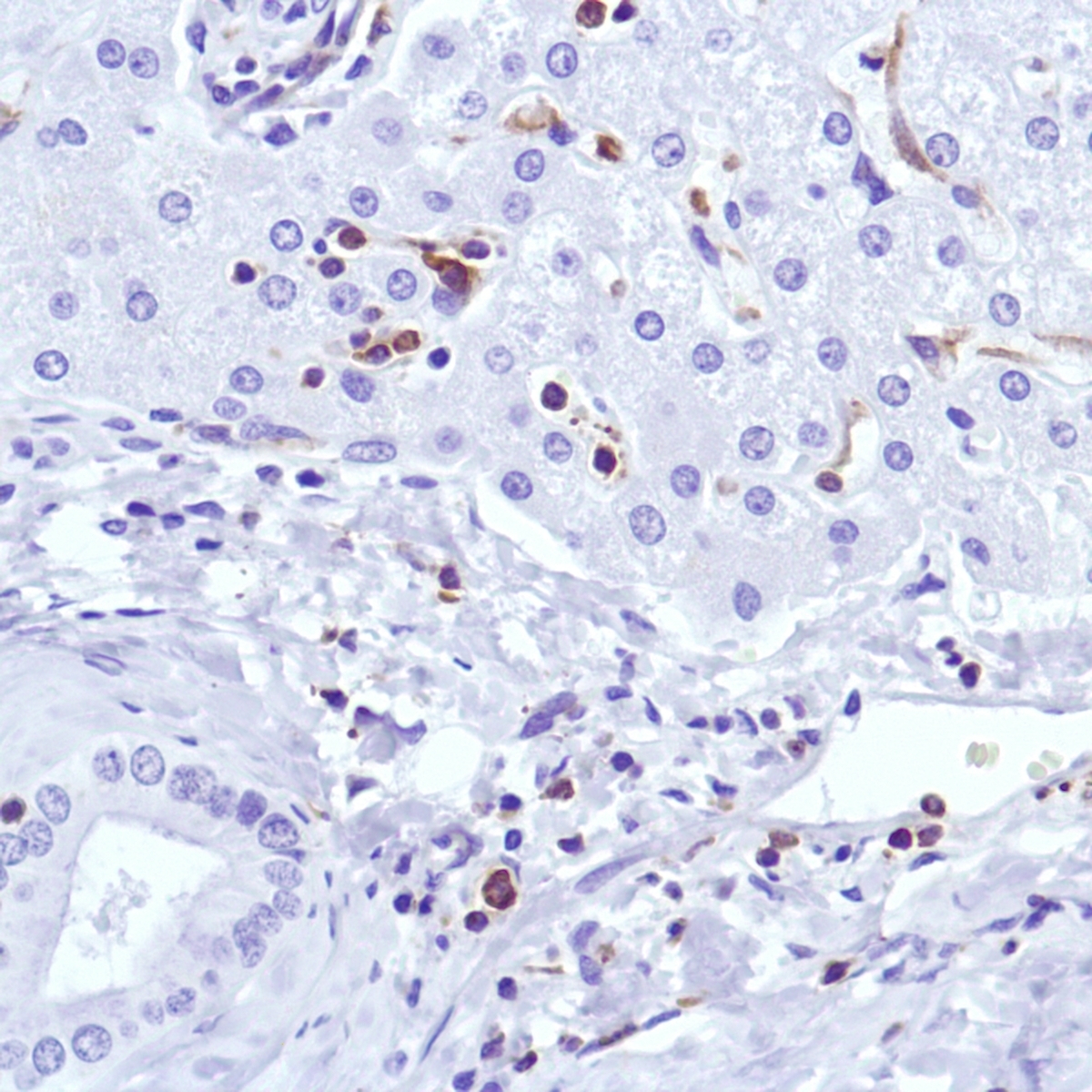
- Submitted by
- Arigo (provider)
- Main image

- Experimental details
- Immunohistochemistry: Human Liver stained with CSF-1R antibody [SP211] (ARG52907)