Antibody data
- Antibody Data
- Antigen structure
- References [0]
- Comments [0]
- Validations
- Western blot [1]
- Immunohistochemistry [7]
Submit
Validation data
Reference
Comment
Report error
- Product number
- NBP1-84610 - Provider product page

- Provider
- Novus Biologicals
- Proper citation
- Novus Cat#NBP1-84610, RRID:AB_11032168
- Product name
- Rabbit Polyclonal MCAF1 Antibody
- Antibody type
- Polyclonal
- Description
- Immunogen affinity purified. Specificity of human MCAF1 antibody verified on a Protein Array containing target protein plus 383 other non-specific proteins.
- Reactivity
- Human
- Host
- Rabbit
- Isotype
- IgG
- Vial size
- 0.1 ml
- Storage
- Store at 4C short term. Aliquot and store at -20C long term. Avoid freeze-thaw cycles.
No comments: Submit comment
Supportive validation
- Submitted by
- Novus Biologicals (provider)
- Main image

- Experimental details
- Western Blot: MCAF1 Antibody [NBP1-84610] - Analysis in U2OS cells transfected with control siRNA, target specific siRNA probe #1 and #2, using anti-ATF7IP antibody. Remaining relative intensity is presented.
Supportive validation
- Submitted by
- Novus Biologicals (provider)
- Main image

- Experimental details
- Immunohistochemistry-Paraffin: MCAF1 Antibody [NBP1-84610] - Staining of human skeletal muscle shows low expression as expected.
- Submitted by
- Novus Biologicals (provider)
- Main image

- Experimental details
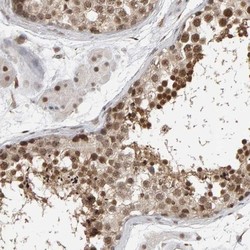
- Immunohistochemistry-Paraffin: MCAF1 Antibody [NBP1-84610] - Staining of human testis shows high expression.
- Submitted by
- Novus Biologicals (provider)
- Main image

- Experimental details
- Immunohistochemistry-Paraffin: MCAF1 Antibody [NBP1-84610] - Analysis in human testis and skeletal muscle tissues. Corresponding MCAF1 RNA-seq data are presented for the same tissues.
- Submitted by
- Novus Biologicals (provider)
- Main image

- Experimental details
- Immunohistochemistry-Paraffin: MCAF1 Antibody [NBP1-84610] - Staining of human endometrium shows moderate nuclear positivity in glandular cells.
- Submitted by
- Novus Biologicals (provider)
- Main image

- Experimental details
- Immunohistochemistry-Paraffin: MCAF1 Antibody [NBP1-84610] - Staining of human lymph node shows moderate nuclear positivity in germinal center cells.
- Submitted by
- Novus Biologicals (provider)
- Main image

- Experimental details
- Immunohistochemistry-Paraffin: MCAF1 Antibody [NBP1-84610] - Staining of human skeletal muscle shows low nuclear positivity in myocytes as expected.
- Submitted by
- Novus Biologicals (provider)
- Main image

- Experimental details
- Immunohistochemistry-Paraffin: MCAF1 Antibody [NBP1-84610] - Staining of human testis shows moderate to strong nuclear positivity in cells in seminiferous ducts.