Antibody data
- Antibody Data
- Antigen structure
- References [1]
- Comments [0]
- Validations
- Western blot [1]
- Immunohistochemistry [1]
Submit
Validation data
Reference
Comment
Report error
- Product number
- NB100-68237 - Provider product page

- Provider
- Novus Biologicals
- Proper citation
- Novus Cat#NB100-68237, RRID:AB_1108561
- Product name
- Rabbit Polyclonal FKBP52/FKBP4 Antibody
- Antibody type
- Polyclonal
- Description
- Immunogen affinity purified.
- Reactivity
- Human
- Host
- Rabbit
- Isotype
- IgG
- Vial size
- 0.1 ml
- Concentration
- 0.2 mg/ml
- Storage
- Store at 4C. Do not freeze.
Submitted references High-throughput screening for native autoantigen-autoantibody complexes using antibody microarrays.
Rho JH, Lampe PD
Journal of proteome research 2013 May 3;12(5):2311-20
Journal of proteome research 2013 May 3;12(5):2311-20
No comments: Submit comment
Supportive validation
- Submitted by
- Novus Biologicals (provider)
- Main image

- Experimental details
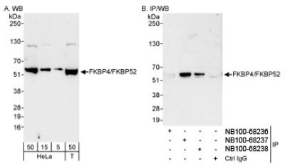
- Western Blot: FKBP52/FKBP4 Antibody [NB100-68237] - Western Blot and Immunoprecipitation: FKBP4/FKBP52 Antibody NB100-68237 -Detection of Human FKBP4/FKBP52 on HeLa whole cell lysate (5, 15, and 50 microgram) and 293T cell lysate (50 microgram) using NB100-68237. FKBP4/FKBP52 was also immunoprecipitated by rabbit anti-FKBP4/FKBP52 antibody NB100-68236 and NB100-68238.
Supportive validation
- Submitted by
- Novus Biologicals (provider)
- Main image

- Experimental details
- Immunohistochemistry: FKBP52/FKBP4 Antibody [NB100-68237] - Sample: FFPE section of human prostate carcinoma. Antibody: Affinity purified rabbit anti-FKBP4/FKBP52 used at a dilution of 1:1,000 (0.2ug/ml). Detection: DAB