Antibody data
- Antibody Data
- Antigen structure
- References [0]
- Comments [0]
- Validations
- Western blot [2]
- Immunohistochemistry [2]
Submit
Validation data
Reference
Comment
Report error
- Product number
- LS-B15230 - Provider product page

- Provider
- LSBio
- Product name
- IHC-plus™ ALDH1B1 Antibody (aa278-517) LS-B15230
- Antibody type
- Polyclonal
- Description
- Immunoaffinity purified
- Reactivity
- Human, Rat
- Host
- Rabbit
- Isotype
- IgG
- Storage
- Short term: -20°C; Long term: -80°C; Avoid freeze-thaw cycles.
No comments: Submit comment
Enhanced validation
- Submitted by
- LSBio (provider)
- Enhanced method
- Genetic validation
- Main image

- Experimental details
- Western blot. All lanes: Aldehyde dehydrogenase X, mitochondrial antibody at 4 ug/ml. Lane 1: HeLa whole cell lysate. Lane 2: Rat brain tissue. Lane 3: HepG2 whole cell lysate. secondary Goat polyclonal to rabbit at 1:10000 dilution. Predicted band size: 57 kDa. Observed band size: 57 kDa.
- Submitted by
- LSBio (provider)
- Enhanced method
- Genetic validation
- Main image

- Experimental details
- Western blot All lanes: Aldehyde dehydrogenase X, mitochondrial antibody at 4µg/ml Lane 1: Hela whole cell lysate Lane 2: Rat brain tissue Lane 3: HepG2 whole cell lysate Secondary Goat polyclonal to rabbit IgG at 1/10000 dilution Predicted band size: 57 kDa Observed band size: 57 kDa
Supportive validation
- Submitted by
- LSBio (provider)
- Enhanced method
- Genetic validation
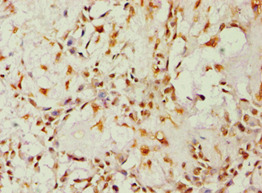
- Main image

- Experimental details
- Immunohistochemistry of paraffin-embedded human breast cancer using antibody at 1:100 dilution.
- Submitted by
- LSBio (provider)
- Enhanced method
- Genetic validation
- Main image

- Experimental details
- Immunohistochemistry of paraffin-embedded human testis using antibody at 1:100 dilution.