Antibody data
- Antibody Data
- Antigen structure
- References [1]
- Comments [0]
- Validations
- Western blot [2]
- Immunohistochemistry [7]
- Flow cytometry [1]
Submit
Validation data
Reference
Comment
Report error
- Product number
- NBP2-01064 - Provider product page

- Provider
- Novus Biologicals
- Product name
- Mouse Monoclonal KIF2C Antibody
- Antibody type
- Monoclonal
- Description
- Affinity purified.
- Reactivity
- Human, Mouse, Rat, Simian
- Host
- Mouse
- Isotype
- IgG
- Vial size
- 0.1 ml
- Concentration
- 0.65 mg/ml
- Storage
- Store at -20C. Avoid freeze-thaw cycles.
Submitted references Poly(ADP-ribose) mediates asymmetric division of mouse oocyte.
Xie B, Zhang L, Zhao H, Bai Q, Fan Y, Zhu X, Yu Y, Li R, Liang X, Sun QY, Li M, Qiao J
Cell research 2018 Apr;28(4):462-475
Cell research 2018 Apr;28(4):462-475
No comments: Submit comment
Supportive validation
- Submitted by
- Novus Biologicals (provider)
- Main image

- Experimental details
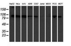
- Western Blot: KIF2C Antibody (OTI1C5) [NBP2-01064] - Analysis of extracts (35ug) from 9 different cell lines by using anti-KIF2C monoclonal antibody.
- Submitted by
- Novus Biologicals (provider)
- Main image

- Experimental details
- Western Blot: KIF2C Antibody (OTI1C5) [NBP2-01064] - HEK293T cells were transfected with the pCMV6-ENTRY control (Left lane) or pCMV6-ENTRY KIF2C (Right lane) cDNA for 48 hrs and lysed. Equivalent amounts of cell lysates (5 ug per lane) were separated by SDS-PAGE and immunoblotted with anti-KIF2C.
Supportive validation
- Submitted by
- Novus Biologicals (provider)
- Main image

- Experimental details
- Immunohistochemistry-Paraffin: KIF2C Antibody (OTI1C5) [NBP2-01064] - Staining of paraffin-embedded Human tonsil using anti-KIF2C mouse monoclonal antibody.
- Submitted by
- Novus Biologicals (provider)
- Main image

- Experimental details
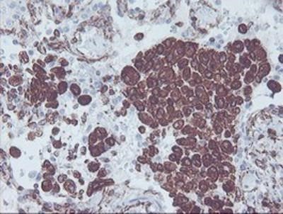
- Immunohistochemistry-Paraffin: KIF2C Antibody (OTI1C5) [NBP2-01064] - Staining of paraffin-embedded Adenocarcinoma of Human endometrium tissue using anti-KIF2C mouse monoclonal antibody.
- Submitted by
- Novus Biologicals (provider)
- Main image

- Experimental details
- Immunohistochemistry-Paraffin: KIF2C Antibody (OTI1C5) [NBP2-01064] - Staining of paraffin-embedded Adenocarcinoma of Human ovary tissue using anti-KIF2C mouse monoclonal antibody.
- Submitted by
- Novus Biologicals (provider)
- Main image

- Experimental details
- Immunohistochemistry-Paraffin: KIF2C Antibody (OTI1C5) [NBP2-01064] - Staining of paraffin-embedded Carcinoma of Human kidney tissue using anti-KIF2C mouse monoclonal antibody.
- Submitted by
- Novus Biologicals (provider)
- Main image

- Experimental details
- Immunohistochemistry-Paraffin: KIF2C Antibody (OTI1C5) [NBP2-01064] - Staining of paraffin-embedded Carcinoma of Human liver tissue using anti-KIF2C mouse monoclonal antibody.
- Submitted by
- Novus Biologicals (provider)
- Main image

- Experimental details
- Immunohistochemistry-Paraffin: KIF2C Antibody (OTI1C5) [NBP2-01064] - Staining of paraffin-embedded Carcinoma of Human lung tissue using anti-KIF2C mouse monoclonal antibody.
- Submitted by
- Novus Biologicals (provider)
- Main image

- Experimental details
- Immunohistochemistry-Paraffin: KIF2C Antibody (OTI1C5) [NBP2-01064] - Staining of paraffin-embedded Human Kidney tissue using anti-KIF2C mouse monoclonal antibody.
Supportive validation
- Submitted by
- Novus Biologicals (provider)
- Main image

- Experimental details
- Flow Cytometry: KIF2C Antibody (OTI1C5) [NBP2-01064] - HEK293T cells transfected with either overexpression plasmid (Red) or empty vector control plasmid (Blue) were immunostained by anti-KIF2C antibody, and then analyzed by flow cytometry.