Antibody data
- Antibody Data
- Antigen structure
- References [0]
- Comments [0]
- Validations
- Western blot [1]
- Immunohistochemistry [7]
- Flow cytometry [1]
Submit
Validation data
Reference
Comment
Report error
- Product number
- NBP2-01998 - Provider product page

- Provider
- Novus Biologicals
- Product name
- Mouse Monoclonal SAT2 Antibody
- Antibody type
- Monoclonal
- Description
- Affinity purified.
- Reactivity
- Human
- Host
- Mouse
- Isotype
- IgG
- Vial size
- 0.1 ml
- Concentration
- 0.57 mg/ml
- Storage
- Store at -20C. Avoid freeze-thaw cycles.
No comments: Submit comment
Supportive validation
- Submitted by
- Novus Biologicals (provider)
- Main image

- Experimental details
- Western Blot: SAT2 Antibody (1C9) [NBP2-01998] - HEK293T cells were transfected with the pCMV6-ENTRY control (Left lane) or pCMV6-ENTRY SAT2 (Right lane) cDNA for 48 hrs and lysed. Equivalent amounts of cell lysates (5 ug per lane) were separated by SDS-PAGE and immunoblotted with anti-SAT2.
Supportive validation
- Submitted by
- Novus Biologicals (provider)
- Main image

- Experimental details
- Immunohistochemistry-Paraffin: SAT2 Antibody (1C9) [NBP2-01998] - Staining of paraffin-embedded Adenocarcinoma of Human endometrium tissue using anti-SAT2 mouse monoclonal antibody.
- Submitted by
- Novus Biologicals (provider)
- Main image

- Experimental details
- Immunohistochemistry-Paraffin: SAT2 Antibody (1C9) [NBP2-01998] - Staining of paraffin-embedded Carcinoma of Human kidney tissue using anti-SAT2 mouse monoclonal antibody.
- Submitted by
- Novus Biologicals (provider)
- Main image

- Experimental details
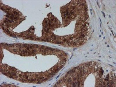
- Immunohistochemistry-Paraffin: SAT2 Antibody (1C9) [NBP2-01998] - Staining of paraffin-embedded Carcinoma of Human prostate tissue using anti-SAT2 mouse monoclonal antibody.
- Submitted by
- Novus Biologicals (provider)
- Main image

- Experimental details
- Immunohistochemistry-Paraffin: SAT2 Antibody (1C9) [NBP2-01998] - Staining of paraffin-embedded Human bladder tissue using anti-SAT2 mouse monoclonal antibody.
- Submitted by
- Novus Biologicals (provider)
- Main image

- Experimental details
- Immunohistochemistry-Paraffin: SAT2 Antibody (1C9) [NBP2-01998] - Staining of paraffin-embedded Human Kidney tissue using anti-SAT2 mouse monoclonal antibody.
- Submitted by
- Novus Biologicals (provider)
- Main image

- Experimental details
- Immunohistochemistry-Paraffin: SAT2 Antibody (1C9) [NBP2-01998] - Staining of paraffin-embedded Human liver tissue using anti-SAT2 mouse monoclonal antibody.
- Submitted by
- Novus Biologicals (provider)
- Main image

- Experimental details
- Immunohistochemistry-Paraffin: SAT2 Antibody (1C9) [NBP2-01998] - Staining of paraffin-embedded Human pancreas tissue using anti-SAT2 mouse monoclonal antibody.
Supportive validation
- Submitted by
- Novus Biologicals (provider)
- Main image

- Experimental details
- Flow Cytometry: SAT2 Antibody (1C9) [NBP2-01998] - Analysis of Jurkat cells, using anti-SAT2 antibody, (Red), compared to a nonspecific negative control antibody (Blue).