Antibody data
- Antibody Data
- Antigen structure
- References [0]
- Comments [0]
- Validations
- Immunohistochemistry [1]
Submit
Validation data
Reference
Comment
Report error
- Product number
- PAB26294 - Provider product page 
- Provider
- Abnova Corporation
- Product name
- GPR139 polyclonal antibody
- Antibody type
- Polyclonal
- Description
- Rabbit polyclonal antibody raised against synthetic peptide of GPR139.
- Storage
- Store at 4°C. For long term storage store at -80°C.Aliquot to avoid repeated freezing and thawing.
				No comments: Submit comment	
	
			
							
					Supportive validation
					
									
				
		- Submitted by
- Abnova Corporation (provider)
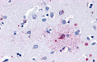
- Main image
 
- Experimental details
- Immunohistochemistry (Formalin/PFA-fixed paraffin-embedded sections) of human brain, neurons and glia with GPR139 polyclonal antibody (Cat # PAB26294). Immunohistochemistry of formalin-fixed, paraffin-embedded tissue after heat-induced antigen retrieval.
- Validation comment
- Immunohistochemistry (Formalin/PFA-fixed paraffin-embedded sections)