Antibody data
- Antibody Data
- Antigen structure
- References [0]
- Comments [0]
- Validations
- Immunocytochemistry [5]
Submit
Validation data
Reference
Comment
Report error
- Product number
- BPD-ABS-028-08-02 - Provider product page

- Provider
- Enzo Life Sciences
- Product name
- Neuropeptide Y (human) monoclonal antibody (8)
- Antibody type
- Monoclonal
- Antigen
- Synthetic peptide
- Description
- Protein A/G-affinity purified.
- Reactivity
- Human, Mouse, Rat
- Host
- Mouse
- Isotype
- IgG
- Antibody clone number
- 8
- Vial size
- 200 μg
- Storage
- 0
No comments: Submit comment
Supportive validation
- Submitted by
- Enzo Life Sciences (provider)
- Main image

- Experimental details
- Immunohistochemical analysis of paraffin embedded mouse brain tissue (interneurons in the cortex) stained with Neuropeptide Y (NPY) (human), mAb diluted 1:1,000.
- Submitted by
- Enzo Life Sciences (provider)
- Main image

- Experimental details
- Immunohistochemical analysis of enlarged section of a paraffin embedded mouse brain tissue (fibres in the hilus of the hippocampus) from a mouse suffering an epileptic attack just before perfusion stained with Neuropeptide Y (human), mAb diluted 1:1,000.
- Submitted by
- Enzo Life Sciences (provider)
- Main image

- Experimental details
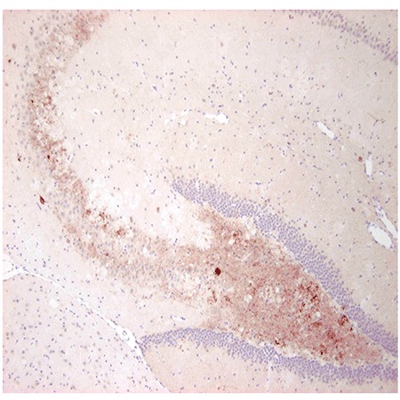
- Immunohistochemical analysis of paraffin embedded mouse brain tissue (fibres in the hilus of the hippocampus) from a mouse suffering an epiletic attack just before perfusion stained with Neuropeptide Y (human), mAb diluted 1:1,000.
- Submitted by
- Enzo Life Sciences (provider)
- Main image

- Experimental details
- The immunofluorescence images of BPD-ABS-028-08 are tested on tissue from human cerebral cortex, applying ultra thin sections using a technique called array tomography (antibody: green, DAPI-stained nuclei: blue). The antibody labels NPY-positive processes in the neutrophil. Image courtesy of Dr. Nancy O'Rourke, Stanford University.
- Submitted by
- Enzo Life Sciences (provider)
- Main image

- Experimental details
- The immunofluorescence images of BPD-ABS-028-08 are tested on tissue from human cerebral cortex, applying ultra thin sections using a technique called array tomography (antibody: green, DAPI-stained nuclei: blue). The antibody labels NPY-positive processes in the neutrophil. Image courtesy of Dr. Nancy O'Rourke, Stanford University.