sc-9115
antibody from Santa Cruz Biotechnology
Targeting: DYNC1H1
CMT2O, DHC1, DNCH1, Dnchc1, DNCL, DNECL, HL-3, p22
Antibody data
- Antibody Data
- Antigen structure
- References [4]
- Comments [0]
- Validations
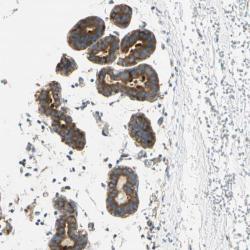
- Immunohistochemistry [1]
Submit
Validation data
Reference
Comment
Report error
- Product number
- sc-9115 - Provider product page

- Provider
- Santa Cruz Biotechnology
- Proper citation
- Santa Cruz Biotechnology Cat#sc-9115, RRID:AB_2093483
- Product name
- Anti-DYNC1H1
- Antibody type
- Polyclonal
- Antigen
- Recombinant full-length protein
- Reactivity
- Human
- Host
- Rabbit
Submitted references Localization of BDNF mRNA with the Huntington's disease protein in rat brain.
The legs at odd angles (Loa) mutation in cytoplasmic dynein ameliorates mitochondrial function in SOD1G93A mouse model for motor neuron disease.
Analysis of a zebrafish dync1h1 mutant reveals multiple functions for cytoplasmic dynein 1 during retinal photoreceptor development.
Dopamine receptor activation modulates GABA neuron migration from the basal forebrain to the cerebral cortex.
Ma B, Culver BP, Baj G, Tongiorgi E, Chao MV, Tanese N
Molecular neurodegeneration 2010 May 27;5:22
Molecular neurodegeneration 2010 May 27;5:22
The legs at odd angles (Loa) mutation in cytoplasmic dynein ameliorates mitochondrial function in SOD1G93A mouse model for motor neuron disease.
El-Kadi AM, Bros-Facer V, Deng W, Philpott A, Stoddart E, Banks G, Jackson GS, Fisher EM, Duchen MR, Greensmith L, Moore AL, Hafezparast M
The Journal of biological chemistry 2010 Jun 11;285(24):18627-39
The Journal of biological chemistry 2010 Jun 11;285(24):18627-39
Analysis of a zebrafish dync1h1 mutant reveals multiple functions for cytoplasmic dynein 1 during retinal photoreceptor development.
Insinna C, Baye LM, Amsterdam A, Besharse JC, Link BA
Neural development 2010 Apr 22;5:12
Neural development 2010 Apr 22;5:12
Dopamine receptor activation modulates GABA neuron migration from the basal forebrain to the cerebral cortex.
Crandall JE, McCarthy DM, Araki KY, Sims JR, Ren JQ, Bhide PG
The Journal of neuroscience : the official journal of the Society for Neuroscience 2007 Apr 4;27(14):3813-22
The Journal of neuroscience : the official journal of the Society for Neuroscience 2007 Apr 4;27(14):3813-22
No comments: Submit comment
Supportive validation
- Submitted by
- per
- Main image

- Experimental details
- Immunohistochemical staining of human breast shows strong cytoplasmic positivity in glandular cells.
- Validation comment
- Two independent antibodies targeting one protein yielding similar staining patterns. Staining pattern consistent with experimental and/or bioinformatic data.