LS-C230573
antibody from LSBio
Targeting: PDIA3
ERp57, ERp60, ERp61, GRP57, GRP58, HsT17083, P58, PI-PLC
Antibody data
- Antibody Data
- Antigen structure
- References [0]
- Comments [0]
- Validations
- Western blot [1]
- Immunohistochemistry [2]
Submit
Validation data
Reference
Comment
Report error
- Product number
- LS-C230573 - Provider product page

- Provider
- LSBio
- Product name
- PDIA3 / ERp57 Antibody (clone Map.ERP57, Atto 390) LS-C230573
- Antibody type
- Monoclonal
- Description
- Protein G purified from tissue culture supernatant
- Reactivity
- Human, Mouse, Rat, Bovine, Canine, Guinea Pig, Hamster, Porcine, Rabbit, Simian
- Host
- Mouse
- Isotype
- IgG
- Antibody clone number
- Map.ERP57
- Storage
- Store at -20°C.
No comments: Submit comment
Enhanced validation
- Submitted by
- LSBio (provider)
- Enhanced method
- Genetic validation
- Main image

- Experimental details
- Western blot analysis of ERP57 in human cell lysates using a 1:1000 dilution of PDIA3 / ERp57 antibody. This image was taken for the unconjugated form of this product. Other forms have not been tested.
Supportive validation
- Submitted by
- LSBio (provider)
- Enhanced method
- Genetic validation
- Main image

- Experimental details
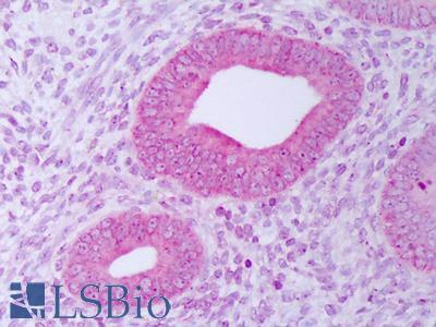
- Anti-PDIA3 / ERp57 antibody IHC of human uterus, endometrium. Immunohistochemistry of formalin-fixed, paraffin-embedded tissue after heat-induced antigen retrieval. Antibody concentration 15 ug/ml. This image was taken for the unconjugated form of this product. Other forms have not been tested.
- Submitted by
- LSBio (provider)
- Enhanced method
- Genetic validation
- Main image

- Experimental details
- Anti-PDIA3 / ERp57 antibody IHC of human uterus, endometrium. Immunohistochemistry of formalin-fixed, paraffin-embedded tissue after heat-induced antigen retrieval. Antibody concentration 15 ug/ml. This image was taken for the unconjugated form of this product. Other forms have not been tested.