GTX100297
antibody from GeneTex
Targeting: PDIA3
ERp57, ERp60, ERp61, GRP57, GRP58, HsT17083, P58, PI-PLC
Antibody data
- Antibody Data
- Antigen structure
- References [2]
- Comments [0]
- Validations
- Western blot [3]
- Immunocytochemistry [2]
- Immunohistochemistry [4]
Submit
Validation data
Reference
Comment
Report error
- Product number
- GTX100297 - Provider product page

- Provider
- GeneTex
- Proper citation
- GeneTex Cat#GTX100297, RRID:AB_1081002
- Product name
- ERp57 antibody [C3], C-term
- Antibody type
- Polyclonal
- Reactivity
- Human, Mouse, Rat
- Host
- Rabbit
Submitted references Intracellular mannose binding lectin mediates subcellular trafficking of HIV-1 gp120 in neurons.
Identification of the proteins required for fatty acid desaturation in zebrafish (Danio rerio).
Teodorof C, Divakar S, Soontornniyomkij B, Achim CL, Kaul M, Singh KK
Neurobiology of disease 2014 Sep;69:54-64
Neurobiology of disease 2014 Sep;69:54-64
Identification of the proteins required for fatty acid desaturation in zebrafish (Danio rerio).
Chen YS, Luo WI, Lee TL, Yu SS, Chang CY
Biochemical and biophysical research communications 2013 Nov 1;440(4):671-6
Biochemical and biophysical research communications 2013 Nov 1;440(4):671-6
No comments: Submit comment
Supportive validation
- Submitted by
- GeneTex (provider)
- Main image

- Experimental details
- Sample (30 ug of whole cell lysate) A: NIH-3T3 B: JC C: BCL-1 7.5% SDS PAGE GTX100297 diluted at 1:1000
- Submitted by
- GeneTex (provider)
- Main image

- Experimental details
- Sample (30 ug of whole cell lysate) A: H1299 B: Hela C: Hep G2 (GTX27900) 7.5% SDS PAGE GTX100297 diluted at 1:10000
- Submitted by
- GeneTex (provider)
- Main image

- Experimental details
- ERp57 antibody [C3], C-term detects PDIA3 protein by Western blot analysis.A. 20 ?g rat liver lysate/extract7.5 % SDS-PAGEERp57 antibody [C3], C-term (GTX100297) dilution: 1:10000
Supportive validation
- Submitted by
- GeneTex (provider)
- Main image

- Experimental details
- ERp57 antibody [C3], C-term detects PDIA3 protein at cytoplasm by immunofluorescent analysis. Sample: MCF-7 cells were fixed in ice-cold MeOH for 5 min.Green: PDIA3 protein stained by ERp57 antibody [C3], C-term (GTX100297) diluted at 1:500.Blue: Hoechst 33342 staining.
- Submitted by
- GeneTex (provider)
- Main image

- Experimental details
- ERp57 antibody [C3], C-term detects ERp57 protein at cytoplasm by immunofluorescent analysis.Sample: HeLa cells were fixed in 4% paraformaldehyde at RT for 15 min.Green: ERp57 protein stained by ERp57 antibody [C3], C-term (GTX100297) diluted at 1:1000.Red: alpha Tubulin, a cytoskeleton marker, stained by alpha Tubulin antibody [GT114] (GTX628802) diluted at 1:1000.Blue: Hoechst 33342 staining.
Supportive validation
- Submitted by
- GeneTex (provider)
- Main image

- Experimental details
- Immunohistochemical analysis of paraffin-embedded H1299 xenograft, using ERp57(GTX100297) antibody at 1:500 dilution.
- Submitted by
- GeneTex (provider)
- Main image

- Experimental details
- ERp57 antibody [C3], C-term detects ERp57 protein at cytosol on mouse lymph node by immunohistochemical analysis. Sample: Paraffin-embedded mouse lymph node. ERp57 antibody [C3], C-term (GTX100297) dilution: 1:500.
- Submitted by
- GeneTex (provider)
- Main image

- Experimental details
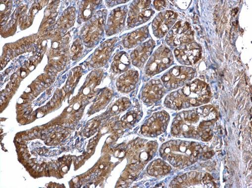
- ERp57 antibody [C3], C-term detects ERp57 protein at cytosol on mouse intestine by immunohistochemical analysis. Sample: Paraffin-embedded mouse intestine. ERp57 antibody [C3], C-term (GTX100297) dilution: 1:500.
- Submitted by
- GeneTex (provider)
- Main image

- Experimental details
- ERp57 antibody [C3], C-term detects ERp57 protein at cytosol on rat middle brain by immunohistochemical analysis. Sample: Paraffin-embedded rat middle brain. ERp57 antibody [C3], C-term (GTX100297) dilution: 1:500.