Antibody data
- Antibody Data
- Antigen structure
- References [0]
- Comments [0]
- Validations
- Western blot [1]
- Immunohistochemistry [1]
Submit
Validation data
Reference
Comment
Report error
- Product number
- AM08334PU-S - Provider product page

- Provider
- OriGene
- Product name
- Mouse Monoclonal Anti-TPX2 Antibody, Aff - Purified
- Antibody type
- Monoclonal
- Description
- Mouse Monoclonal Anti-TPX2 Antibody, Aff - Purified
- Reactivity
- Human
- Host
- Mouse
- Conjugate
- Unconjugated
- Isotype
- IgG
- Antibody clone number
- Clone 18D5
- Vial size
- 25ug
- Concentration
- 0.5 mg/ml
No comments: Submit comment
Supportive validation
- Submitted by
- OriGene (provider)
- Main image

- Experimental details
- MOLT-4 nuclear extracts were resolved by electrophoresis, transferred to nitrocellulose and probed with monoclonal anti-TPX2 / DIL2 ? (Clone 18D5). Proteins were visualized using a goat anti-mouse secondary conjugated to HRP and a chemiluminescence detection system.
- Validation comment
- WB
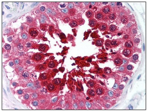
Supportive validation
- Submitted by
- OriGene (provider)
- Main image

- Experimental details
- Formalin-Fixed Paraffin-Embedded Human Testis stained with?TPX2 / DIL2 ? (Clone 18D5) at?10 ug/ml after heat-induced antigen retrieval.
- Validation comment
- IHC