Antibody data
- Antibody Data
- Antigen structure
- References [0]
- Comments [0]
- Validations
- Immunohistochemistry [4]
- Other assay [1]
Submit
Validation data
Reference
Comment
Report error
- Product number
- PA5-63201 - Provider product page

- Provider
- Invitrogen Antibodies
- Product name
- Anti-NFE2L3 Polyclonal Antibody
- Antibody type
- Polyclonal
- Antigen
- Recombinant full-length protein
- Description
- Immunogen sequence: LEGISLGDIP LPGSISDGMN SSAHYHVNFS QAISQDVNLH EAILLCPNNT FRRDPTARTS QSQEPFLQLN SHTTNPEQTL PGTNLTGFLS PVDNHMRNLT SQDLLYD Highest antigen sequence identity to the following orthologs: Mouse - 67%, Rat - 58%.
- Reactivity
- Human
- Host
- Rabbit
- Isotype
- IgG
- Vial size
- 100 µl
- Concentration
- 0.1 mg/mL
- Storage
- Store at 4°C short term. For long term storage, store at -20°C, avoiding freeze/thaw cycles.
No comments: Submit comment
Supportive validation
- Submitted by
- Invitrogen Antibodies (provider)
- Main image

- Experimental details
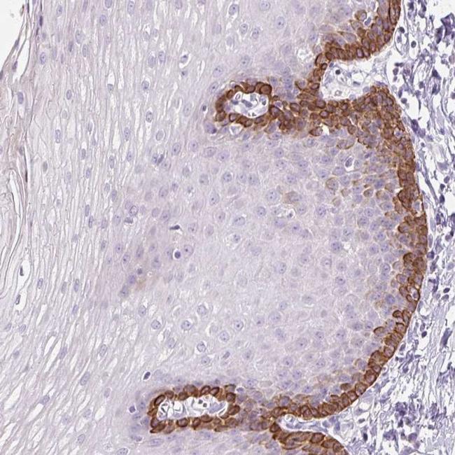
- Immunohistochemical staining of NFE2L3 in human esophogial tissue shows strong cytoplasmic positivity in basal squamous epithelial cells. Samples were probed using a NFE2L3 Polyclonal Antibody (Product # PA5-63201).
- Submitted by
- Invitrogen Antibodies (provider)
- Main image

- Experimental details
- Immunohistochemical staining of NFE2L3 in human placenta and pancreas tissues using NFE2L3 Polyclonal Antibody (Product # PA5-63201). Corresponding NFE2L3 RNA-seq data are presented for the same tissues.
- Submitted by
- Invitrogen Antibodies (provider)
- Main image

- Experimental details
- Immunohistochemical staining of NFE2L3 in human placenta using NFE2L3 Polyclonal Antibody (Product # PA5-63201) shows high expression.
- Submitted by
- Invitrogen Antibodies (provider)
- Main image

- Experimental details
- Immunohistochemical staining of NFE2L3 in human pancreas using NFE2L3 Polyclonal Antibody (Product # PA5-63201) shows low expression as expected.
Supportive validation
- Submitted by
- Invitrogen Antibodies (provider)
- Main image

- Experimental details
- Immunofluorescent staining of NFE2L3 in human cell line CACO-2 shows positivity in vesicles & nucleus but excluded from the nucleoli. Samples were probed using a NFE2L3 Polyclonal Antibody (Product # PA5-63201).