Antibody data
- Antibody Data
- Antigen structure
- References [0]
- Comments [0]
- Validations
- Western blot [1]
- Immunohistochemistry [1]
Submit
Validation data
Reference
Comment
Report error
- Product number
- GTX80499 - Provider product page

- Provider
- GeneTex
- Proper citation
- GeneTex Cat#GTX80499, RRID:AB_11177102
- Product name
- ALOX15B antibody, C-term
- Antibody type
- Polyclonal
- Reactivity
- Human
- Host
- Rabbit
No comments: Submit comment
Supportive validation
- Submitted by
- GeneTex (provider)
- Main image

- Experimental details
- Western blot analysis of ALOX15B Antibody (C-term) (GTX80499) in CEM cell line lysates (35ug/lane). ALOX15B (arrow) was detected using the purified Pab.
- Validation comment
- WB
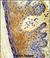
Supportive validation
- Submitted by
- GeneTex (provider)
- Main image

- Experimental details
- Formalin-fixed and paraffin-embedded human skin tissue reacted with PSMD13 Antibody (C-term) (GTX80499), which was peroxidase-conjμgated to the secondary antibody, followed by DAB staining. This data demonstrates the use of this antibody for immunohistochemistry.