Antibody data
- Antibody Data
 - Antigen structure
 - References [0]
 - Comments [0]
 - Validations
 - Immunohistochemistry [2]
 
Submit
Validation data
Reference
Comment
Report error
- Product number
 - STJ29065 - Provider product page

 - Provider
 - St John's Laboratory
 - Product name
 - Anti-SOX5 antibody (1-120) (STJ29065)
 - Antibody type
 - Polyclonal
 - Description
 - Rabbit polyclonal antibody anti-SOX5 (1-120) is suitable for use in Western Blot, Immunohistochemistry and Immunofluorescence.
 - Reactivity
 - Human, Mouse, Rat
 - Host
 - Rabbit
 - Conjugate
 - Unconjugated
 - Antigen sequence
 NA- Epitope
 - NA
 - Isotype
 - IgG
 - Antibody clone number
 - NA
 - Vial size
 - NA
 - Concentration
 - NA
 - Storage
 - Store in a freezer at-20°C and avoid freeze-thaw cycles.
 - Handling
 - NA
 
				No comments: Submit comment	
	
			
							
					Supportive validation
					
									
				
Supportive validation
		
		- Submitted by
 - St John's Laboratory (provider)
 - Main image
 
- Experimental details
 - Immunofluorescence analysis of MCF7 cells using SOX5 antibody (STJ29065).
 - Sample type
 - NA
 - Validation comment
 - NA
 - Primary Ab dilution
 - NA
 - Other comments
 - NA
 - Secondary Ab
 - NA
 - Secondary Ab dilution
 - NA
 - Protocol
 - NA
 
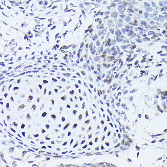
Supportive validation
- Submitted by
 - St John's Laboratory (provider)
 - Main image
 
- Experimental details
 - Immunohistochemistry of paraffin-embedded mouse embryos using SOX5 rabbit polyclonal antibody (STJ29065) at dilution of 1:50 (40x lens).
 - Sample type
 - NA
 - Validation comment
 - NA
 - Primary Ab dilution
 - NA
 - Other comments
 - NA
 - Secondary Ab
 - NA
 - Secondary Ab dilution
 - NA
 - Protocol
 - NA