11889-1-AP
antibody from Invitrogen Antibodies
Targeting: AGGF1
FLJ10283, GPATC7, GPATCH7, HSU84971, VG5Q
Antibody data
- Antibody Data
- Antigen structure
- References [0]
- Comments [0]
- Validations
- Western blot [5]
- Immunohistochemistry [2]
Submit
Validation data
Reference
Comment
Report error
- Product number
- 11889-1-AP - Provider product page

- Provider
- Invitrogen Antibodies
- Product name
- AGGF1 Polyclonal Antibody
- Antibody type
- Polyclonal
- Antigen
- Other
- Reactivity
- Human, Mouse, Rat
- Host
- Rabbit
- Isotype
- IgG
- Vial size
- 150 µL
- Concentration
- 0.27 mg/mL
- Storage
- -20°C
No comments: Submit comment
Supportive validation
- Submitted by
- Invitrogen Antibodies (provider)
- Main image

- Experimental details
- HeLa cells were subjected to SDS PAGE followed by western blot with 11889-1-AP (AGGF1 antibody) at dilution of 1:1000 incubated at room temperature for 1.5 hours.
- Submitted by
- Invitrogen Antibodies (provider)
- Main image

- Experimental details
- Rat liver tissue were subjected to SDS PAGE followed by western blot with 11889-1-AP (AGGF1 antibody) at dilution of 1:1000 incubated at room temperature for 1.5 hours.
- Submitted by
- Invitrogen Antibodies (provider)
- Main image

- Experimental details
- HEK-293 cells were subjected to SDS PAGE followed by western blot with 11889-1-AP (AGGF1 antibody) at dilution of 1:1000 incubated at room temperature for 1.5 hours.
- Submitted by
- Invitrogen Antibodies (provider)
- Main image

- Experimental details
- WB result of AGGF1 antibody (Product # 11889-1-AP; 1:3,000; incubated at room temperature for 1.5 hours) with sh-Control and sh-AGGF1 transfected HeLa cells.
- Submitted by
- Invitrogen Antibodies (provider)
- Main image

- Experimental details
- Mouse liver tissue were subjected to SDS PAGE followed by western blot with 11889-1-AP (AGGF1 antibody) at dilution of 1:1000 incubated at room temperature for 1.5 hours.
Supportive validation
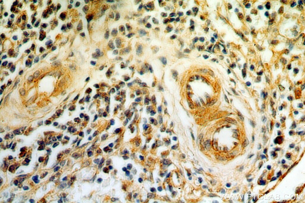
- Submitted by
- Invitrogen Antibodies (provider)
- Main image

- Experimental details
- Immunohistochemistry of paraffin-embedded human spleen using 11889-1-AP (AGGF1 antibody) at dilution of 1:25 (under 10x lens).
- Submitted by
- Invitrogen Antibodies (provider)
- Main image

- Experimental details
- Immunohistochemistry of paraffin-embedded human spleen using 11889-1-AP (AGGF1 antibody) at dilution of 1:25 (under 40x lens).