Antibody data
- Antibody Data
- Antigen structure
- References [0]
- Comments [0]
- Validations
- Immunohistochemistry [1]
Submit
Validation data
Reference
Comment
Report error
- Product number
- GTX85801 - Provider product page

- Provider
- GeneTex
- Proper citation
- GeneTex Cat#GTX85801, RRID:AB_10732186
- Product name
- PDE8B antibody
- Antibody type
- Polyclonal
- Reactivity
- Human
- Host
- Rabbit
No comments: Submit comment
Supportive validation
- Submitted by
- GeneTex (provider)
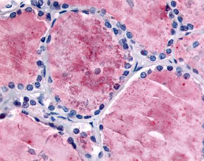
- Main image

- Experimental details
- Human Thyroid (formalin-fixed, paraffin-embedded) stained with PDE8B antibody (GTX85801) at 5 ug/ml followed by biotinylated goat anti-rabbit IgG secondary antibody LS-D1, alkaline phosphatase-streptavidin and chromogen.