Antibody data
- Antibody Data
- Antigen structure
- References [0]
- Comments [0]
- Validations
- Western blot [2]
- Immunohistochemistry [5]
Submit
Validation data
Reference
Comment
Report error
- Product number
- PA5-121962 - Provider product page

- Provider
- Invitrogen Antibodies
- Product name
- GDA Polyclonal Antibody
- Antibody type
- Polyclonal
- Antigen
- Recombinant full-length protein
- Reactivity
- Human, Mouse, Bovine
- Host
- Rabbit
- Isotype
- IgG
- Vial size
- 20 μL
- Concentration
- 0.5 mg/mL
- Storage
- Store at 4°C short term. For long term storage, store at -20°C, avoiding freeze/thaw cycles.
No comments: Submit comment
Supportive validation
- Submitted by
- Invitrogen Antibodies (provider)
- Main image

- Experimental details
- Western blot analysis of GDA in Lane 1: Wild-type HeLa cell lysate; Lane 2: GDA knockout HeLa cell lysate . Samples were incubated with polyclonal antibody (Product # PA5-119167) at a dilution of 1 µg/mL, followed by HRP-Linked Caprine Anti-Rabbit IgG using a dilution of 0.2 µg/mL.
- Submitted by
- Invitrogen Antibodies (provider)
- Main image

- Experimental details
- Western blot analysis of GDA in recombinant human GDA. Sample was incubated with polyclonal antibody (Product # PA5-119167).
Supportive validation
- Submitted by
- Invitrogen Antibodies (provider)
- Main image

- Experimental details
- Immunohistochemistry analysis of GDA in paraffin-embedded Human Kidney tissue. Samples were incubated with polyclonal antibody (Product # PA5-119167) at a dilution of 20 µg/mL, followed by HRP-Linked Caprine Anti-Rabbit IgG using a dilution of 2 µg/mL.
- Submitted by
- Invitrogen Antibodies (provider)
- Main image

- Experimental details
- Immunohistochemistry analysis of GDA in paraffin-embedded Human Liver cancer tissue. Samples were incubated with polyclonal antibody (Product # PA5-119167) at a dilution of 30 µg/mL, followed by HRP-Linked Caprine Anti-Rabbit IgG using a dilution of 2 µg/mL.
- Submitted by
- Invitrogen Antibodies (provider)
- Main image

- Experimental details
- Immunohistochemistry analysis of GDA in paraffin-embedded Human Liver tissue. Samples were incubated with polyclonal antibody (Product # PA5-119167) at a dilution of 30 µg/mL, followed by HRP-Linked Caprine Anti-Rabbit IgG using a dilution of 2 µg/mL.
- Submitted by
- Invitrogen Antibodies (provider)
- Main image

- Experimental details
- Immunohistochemistry analysis of GDA in paraffin-embedded Human Cerebrum tissue. Samples were incubated with polyclonal antibody (Product # PA5-119167) at a dilution of 30 µg/mL.
- Submitted by
- Invitrogen Antibodies (provider)
- Main image

- Experimental details
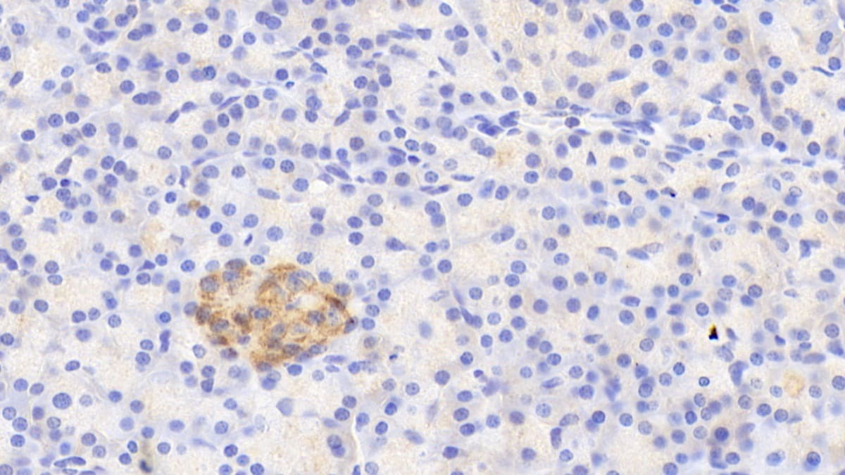
- Immunohistochemistry analysis of GDA in paraffin-embedded Human Pancreas tissue. Samples were incubated with polyclonal antibody (Product # PA5-119167) at a dilution of 20 µg/mL, followed by HRP-Linked Caprine Anti-Rabbit IgG using a dilution of 2 µg/mL.