Antibody data
- Antibody Data
- Antigen structure
- References [0]
- Comments [0]
- Validations
- Western blot [1]
- Immunohistochemistry [2]
Submit
Validation data
Reference
Comment
Report error
- Product number
- LS-C29989 - Provider product page

- Provider
- LSBio
- Proper citation
- LifeSpan Cat#LS-C29989, RRID:AB_2219364
- Product name
- ZNF266 Antibody (aa27-76) LS-C29989
- Antibody type
- Polyclonal
- Description
- Immunoaffinity purified
- Reactivity
- Human
- Host
- Rabbit
- Isotype
- IgG
- Storage
- Short term: Store at 2-8°C. Long term: Aliquot and store at -20°C. Avoid freeze/thaw cycles.
No comments: Submit comment
Enhanced validation
- Submitted by
- LSBio (provider)
- Enhanced method
- Genetic validation
- Main image

- Experimental details
- HepG2 Cell Lysate. This image was taken for the unconjugated form of this product. Other forms have not been tested.
Enhanced validation
- Submitted by
- LSBio (provider)
- Enhanced method
- Genetic validation
- Main image

- Experimental details
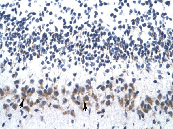
- ZNF266 antibody ARP35808_P050-NP_932175-ZNF266 (zinc finger protein 266) Antibody was used in IHC to stain formalin-fixed, paraffin-embedded human cerebellum. This image was taken for the unconjugated form of this product. Other forms have not been tested.
- Submitted by
- LSBio (provider)
- Main image

- Experimental details
- ZNF266 antibody ARP35808_P050-NP_932175-ZNF266 (zinc finger protein 266) Antibody was used in IHC to stain formalin-fixed, paraffin-embedded human cerebellum. This image was taken for the unconjugated form of this product. Other forms have not been tested.