Antibody data
- Antibody Data
- Antigen structure
- References [2]
- Comments [0]
- Validations
- Western blot [1]
- Immunohistochemistry [1]
Submit
Validation data
Reference
Comment
Report error
- Product number
- NBP1-86727 - Provider product page

- Provider
- Novus Biologicals
- Proper citation
- Novus Cat#NBP1-86727, RRID:AB_11032288
- Product name
- Rabbit Polyclonal gamma-Glutamylcyclotransferase/CRF21/GGCT Antibody
- Antibody type
- Polyclonal
- Description
- Immunogen affinity purified. Specificity of human gamma-Glutamylcyclotransferase/CRF21/GGCT antibody verified on a Protein Array containing target protein plus 383 other non-specific proteins.
- Reactivity
- Human
- Host
- Rabbit
- Isotype
- IgG
- Vial size
- 0.1 ml
- Storage
- Store at 4C short term. Aliquot and store at -20C long term. Avoid freeze-thaw cycles.
Submitted references Widespread expression of γ-glutamyl cyclotransferase suggests it is not a general tumor marker.
Proteomic profiling of mammary carcinomas identifies C7orf24, a gamma-glutamyl cyclotransferase, as a potential cancer biomarker.
Amano T, Eishi Y, Yamada T, Uchida K, Minegishi K, Tamura T, Kobayashi D, Hiroshi K, Suzuki T, Board PG
The journal of histochemistry and cytochemistry : official journal of the Histochemistry Society 2012 Jan;60(1):76-86
The journal of histochemistry and cytochemistry : official journal of the Histochemistry Society 2012 Jan;60(1):76-86
Proteomic profiling of mammary carcinomas identifies C7orf24, a gamma-glutamyl cyclotransferase, as a potential cancer biomarker.
Gromov P, Gromova I, Friis E, Timmermans-Wielenga V, Rank F, Simon R, Sauter G, Moreira JM
Journal of proteome research 2010 Aug 6;9(8):3941-53
Journal of proteome research 2010 Aug 6;9(8):3941-53
No comments: Submit comment
Supportive validation
- Submitted by
- Novus Biologicals (provider)
- Main image

- Experimental details
- Western Blot: gamma-Glutamylcyclotransferase/CRF21/GGCT Antibody [NBP1-86727] - Lane 1: Marker [kDa] 230, 130, 95, 72, 56, 36, 28, 17, 11. Lane 2: Human cell line RT-231
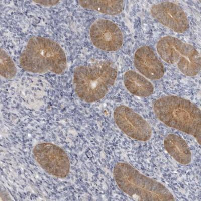
Supportive validation
- Submitted by
- Novus Biologicals (provider)
- Main image

- Experimental details
- Immunohistochemistry-Paraffin: gamma-Glutamylcyclotransferase/CRF21/GGCT Antibody [NBP1-86727] - Staining of human corpus, uterine shows moderate cytoplasmic positivity in glandular cells.