Antibody data
- Antibody Data
- Antigen structure
- References [0]
- Comments [0]
- Validations
- Western blot [1]
- Immunohistochemistry [1]
Submit
Validation data
Reference
Comment
Report error
- Product number
- OAGA01062 - Provider product page

- Provider
- Aviva Systems Biology
- Product name
- NDUFS8 antibody
- Antibody type
- Polyclonal
- Reactivity
- Human, Mouse, Rat
- Host
- Rabbit
- Isotype
- IgG
- Vial size
- 100µl
- Storage
- Keep as concentrated solution. Aliquot and store at -20°C or below. Avoid multiple freeze-thaw cycles.
No comments: Submit comment
Supportive validation
- Submitted by
- Aviva Systems Biology (provider)
- Main image

- Experimental details
- Sample (30 ug of whole cell lysate) A: Hep G2 12% SDS PAGE NDUFS8 antibody OAGA01062 diluted at 1:1000
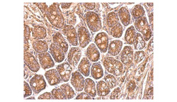
Supportive validation
- Submitted by
- Aviva Systems Biology (provider)
- Main image

- Experimental details
- NDUFS8 antibody detects NDUFS8 protein at on mouse intestine by immunohistochemical analysis. Sample: Paraffin-embedded mouse intestine. NDUFS8 antibody (OAGA01062) dilution: 1:500.