Antibody data
- Antibody Data
- Antigen structure
- References [32]
- Comments [0]
- Validations
- Western blot [1]
- Immunohistochemistry [2]
Submit
Validation data
Reference
Comment
Report error
- Product number
- 10305-1-AP - Provider product page

- Provider
- Proteintech Group
- Product name
- PLK1 antibody
- Antibody type
- Polyclonal
- Description
- KD/KO validated PLK1 antibody (Cat. #10305-1-AP) is a rabbit polyclonal antibody that shows reactivity with human, mouse, rat and has been validated for the following applications: FC, IHC, WB, ELISA.
- Reactivity
- Human, Mouse, Rat
- Host
- Rabbit
- Conjugate
- Unconjugated
- Isotype
- IgG
- Vial size
- 20ul, 150ul
Submitted references CYR61 Acts as an Intracellular Microtubule-Associated Protein and Coordinates Mitotic Progression via PLK1-FBW7 Pathway.
Targeted PLK1 suppression through RNA interference mediated by high-fidelity Cas13d mitigates osteosarcoma progression via TGF-β/Smad3 signalling.
Aurora-A condensation mediated by BuGZ aids its mitotic centrosome functions.
Apurinic/apyrimidinic endodeoxyribonuclease 1 (APE1) promotes stress granule formation via YBX1 phosphorylation in ovarian cancer.
Tangeretin attenuates acute lung injury in septic mice by inhibiting ROS-mediated NLRP3 inflammasome activation via regulating PLK1/AMPK/DRP1 signaling axis.
Aurora kinase A-mediated phosphorylation triggers structural alteration of Rab1A to enhance ER complexity during mitosis.
Proteomic analysis reveals that cigarette smoke exposure diminishes ovarian reserve in mice by disrupting the CREB1-mediated ovarian granulosa cell proliferation-apoptosis balance.
Identification of crucial anoikis-related genes as novel biomarkers and potential therapeutic targets for lung adenocarcinoma via bioinformatic analysis and experimental verification.
Phosphorylation of LZTS2 by PLK1 activates the Wnt pathway.
Role of anoikis-related gene PLK1 in kidney renal papillary cell carcinoma: a bioinformatics analysis and preliminary verification on promoting proliferation and migration.
Cascade dynamic assembly/disassembly of DNA nanoframework enabling the controlled delivery of CRISPR-Cas9 system.
Tectoridin and PLK1 inhibitor synergistically promote the apoptosis of lung adenocarcinoma cells: Bioinformatic analysis of TCGA and TCMSP.
PLK1 inhibition dampens NLRP3 inflammasome-elicited response in inflammatory disease models.
USP1 promotes the aerobic glycolysis and progression of T-cell acute lymphoblastic leukemia via PLK1/LDHA axis.
Parasympathetic-macrophages-ductal epithelial cells axis promotes female rat submandibular gland regeneration after excretory duct ligation/deligation.
Comprehensive Analysis of Necroptosis Landscape in Skin Cutaneous Melanoma for Appealing its Implications in Prognosis Estimation and Microenvironment Status.
Targeting CBX3 with a Dual BET/PLK1 Inhibitor Enhances the Antitumor Efficacy of CDK4/6 Inhibitors in Prostate Cancer.
Increased degradation of FMRP contributes to neuronal hyperexcitability in tuberous sclerosis complex.
Pan-Cancer Transcriptomic Analysis Identifies PLK1 Crucial for the Tumorigenesis of Clear Cell Renal Cell Carcinoma.
Vangl2 participates in the primary ciliary assembly under low fluid shear stress in hUVECs.
Oxcarbazepine induces mitotic catastrophe and apoptosis in NRK-52E proximal tubular cells.
Hyperactivation of HER2-SHCBP1-PLK1 axis promotes tumor cell mitosis and impairs trastuzumab sensitivity to gastric cancer.
Stimuli-Responsive and Highly Penetrable Nanoparticles as a Multifunctional Nanoplatform for Boosting Nonsmall Cell Lung Cancer siRNA Therapy.
CDK1-PLK1/SGOL2/ANLN pathway mediating abnormal cell division in cell cycle may be a critical process in hepatocellular carcinoma.
PLK1 Inhibition alleviates transplant-associated obliterative bronchiolitis by suppressing myofibroblast differentiation.
PHF7 is a novel histone H2A E3 ligase prior to histone-to-protamine exchange during spermiogenesis.
Translation control of the immune checkpoint in cancer and its therapeutic targeting.
pH-responsive hybrid nanoparticle with enhanced dissociation characteristic for siRNA delivery.
Biocompatible PEGylated Gold nanorods function As cytokinesis inhibitors to suppress angiogenesis.
Impact of iASPP on chemoresistance through PLK1 and autophagy in ovarian clear cell carcinoma.
Effects of PLK1 on proliferation, invasion and metastasis of gastric cancer cells through epithelial-mesenchymal transition.
53BP1 and BRCA1 control pathway choice for stalled replication restart.
Hu K, Xie L, Wu W, Zhang J, Li Y, He J, Zhang Y, Lu D, Koeffler HP, Lin L, Yin D
International journal of biological sciences 2024;20(8):3140-3155
International journal of biological sciences 2024;20(8):3140-3155
Targeted PLK1 suppression through RNA interference mediated by high-fidelity Cas13d mitigates osteosarcoma progression via TGF-β/Smad3 signalling.
Yuan Y, Cao D, Zhang A, Liu Z, Deng Z, Zhang S
Journal of cellular and molecular medicine 2024 May;28(10):e18400
Journal of cellular and molecular medicine 2024 May;28(10):e18400
Aurora-A condensation mediated by BuGZ aids its mitotic centrosome functions.
Zheng H, Zhang Q, Liu X, Shi F, Yang F, Xiang S, Jiang H
iScience 2024 May 17;27(5):109785
iScience 2024 May 17;27(5):109785
Apurinic/apyrimidinic endodeoxyribonuclease 1 (APE1) promotes stress granule formation via YBX1 phosphorylation in ovarian cancer.
Mao S, Xie C, Liu Y, Zhao Y, Li M, Gao H, Xiao Y, Zou Y, Zheng Z, Gao Y, Xie J, Tian B, Wang L, Hua Y, Xu H
Cellular and molecular life sciences : CMLS 2024 Mar 4;81(1):113
Cellular and molecular life sciences : CMLS 2024 Mar 4;81(1):113
Tangeretin attenuates acute lung injury in septic mice by inhibiting ROS-mediated NLRP3 inflammasome activation via regulating PLK1/AMPK/DRP1 signaling axis.
Liu Y, Zhang Y, You G, Zheng D, He Z, Guo W, Antonina K, Shukhrat Z, Ding B, Zan J, Zhang Z
Inflammation research : official journal of the European Histamine Research Society ... [et al.] 2024 Jan;73(1):47-63
Inflammation research : official journal of the European Histamine Research Society ... [et al.] 2024 Jan;73(1):47-63
Aurora kinase A-mediated phosphorylation triggers structural alteration of Rab1A to enhance ER complexity during mitosis.
Zhang W, Zhang Z, Xiang Y, Gu DD, Chen J, Chen Y, Zhai S, Liu Y, Jiang T, Liu C, He B, Yan M, Wang Z, Xu J, Cao YL, Deng B, Zeng D, Lei J, Zhuo J, Lei X, Long Z, Jin B, Chen T, Li D, Shen Y, Hu J, Gao S, Liu Q
Nature structural & molecular biology 2024 Feb;31(2):219-231
Nature structural & molecular biology 2024 Feb;31(2):219-231
Proteomic analysis reveals that cigarette smoke exposure diminishes ovarian reserve in mice by disrupting the CREB1-mediated ovarian granulosa cell proliferation-apoptosis balance.
Xu M, Li F, Xu X, Hu N, Miao J, Zhao Y, Ji S, Wang Y, Wang L
Ecotoxicology and environmental safety 2024 Feb;271:115989
Ecotoxicology and environmental safety 2024 Feb;271:115989
Identification of crucial anoikis-related genes as novel biomarkers and potential therapeutic targets for lung adenocarcinoma via bioinformatic analysis and experimental verification.
Wu J, Zhang Y, You G, Guo W, Wang Y, Li J, Tan R, Fu X, Tang Y, Zan J, Su J
Aging 2024 Feb 9;16(3):2887-2907
Aging 2024 Feb 9;16(3):2887-2907
Phosphorylation of LZTS2 by PLK1 activates the Wnt pathway.
Liu R, Zhou D, Yu B, Zhou Z
Cellular signalling 2024 Aug;120:111226
Cellular signalling 2024 Aug;120:111226
Role of anoikis-related gene PLK1 in kidney renal papillary cell carcinoma: a bioinformatics analysis and preliminary verification on promoting proliferation and migration.
Gan L, Xiao Q, Zhou Y, Fu Y, Tang M
Frontiers in pharmacology 2023;14:1211675
Frontiers in pharmacology 2023;14:1211675
Cascade dynamic assembly/disassembly of DNA nanoframework enabling the controlled delivery of CRISPR-Cas9 system.
Song N, Chu Y, Li S, Dong Y, Fan X, Tang J, Guo Y, Teng G, Yao C, Yang D
Science advances 2023 Sep;9(35):eadi3602
Science advances 2023 Sep;9(35):eadi3602
Tectoridin and PLK1 inhibitor synergistically promote the apoptosis of lung adenocarcinoma cells: Bioinformatic analysis of TCGA and TCMSP.
Wang M, Zhao F, Li Z, Li X, Dong L
Naunyn-Schmiedeberg's archives of pharmacology 2023 Oct;396(10):2417-2426
Naunyn-Schmiedeberg's archives of pharmacology 2023 Oct;396(10):2417-2426
PLK1 inhibition dampens NLRP3 inflammasome-elicited response in inflammatory disease models.
Baldrighi M, Doreth C, Li Y, Zhao X, Warner E, Chenoweth H, Kishore K, Umrania Y, Minde DP, Thome S, Yu X, Lu Y, Knapton A, Harrison J, Clarke M, Latz E, de Cárcer G, Malumbres M, Ryffel B, Bryant C, Liu J, Lilley KS, Mallat Z, Li X
The Journal of clinical investigation 2023 Nov 1;133(21)
The Journal of clinical investigation 2023 Nov 1;133(21)
USP1 promotes the aerobic glycolysis and progression of T-cell acute lymphoblastic leukemia via PLK1/LDHA axis.
Liu S, Xiang Y, Wang B, Gao C, Chen Z, Xie S, Wu J, Liu Y, Zhao X, Yang C, Yue Z, Wang L, Wen X, Zhang R, Zhang F, Xu H, Zhai X, Zheng H, Zhang H, Qian M
Blood advances 2023 Jul 11;7(13):3099-3112
Blood advances 2023 Jul 11;7(13):3099-3112
Parasympathetic-macrophages-ductal epithelial cells axis promotes female rat submandibular gland regeneration after excretory duct ligation/deligation.
Wang B, Li D, Li J, An W, Li Z, Shao Q, Qin L
Archives of oral biology 2023 Jan;145:105586
Archives of oral biology 2023 Jan;145:105586
Comprehensive Analysis of Necroptosis Landscape in Skin Cutaneous Melanoma for Appealing its Implications in Prognosis Estimation and Microenvironment Status.
Cao X, He J, Chen A, Ran J, Li J, Chen D, Zhang H
Journal of personalized medicine 2023 Jan 29;13(2)
Journal of personalized medicine 2023 Jan 29;13(2)
Targeting CBX3 with a Dual BET/PLK1 Inhibitor Enhances the Antitumor Efficacy of CDK4/6 Inhibitors in Prostate Cancer.
Liang H, Yang C, Zeng R, Song Y, Wang J, Xiong W, Yan B, Jin X
Advanced science (Weinheim, Baden-Wurttemberg, Germany) 2023 Dec;10(36):e2302368
Advanced science (Weinheim, Baden-Wurttemberg, Germany) 2023 Dec;10(36):e2302368
Increased degradation of FMRP contributes to neuronal hyperexcitability in tuberous sclerosis complex.
Winden KD, Pham TT, Teaney NA, Ruiz J, Chen R, Chen C, Sahin M
Cell reports 2023 Aug 29;42(8):112838
Cell reports 2023 Aug 29;42(8):112838
Pan-Cancer Transcriptomic Analysis Identifies PLK1 Crucial for the Tumorigenesis of Clear Cell Renal Cell Carcinoma.
Qian Y, Li Y, Chen K, Liu N, Hong X, Wu D, Xu Z, Zhou L, Xu L, Jia R, Ge YZ
Journal of inflammation research 2022;15:1099-1116
Journal of inflammation research 2022;15:1099-1116
Vangl2 participates in the primary ciliary assembly under low fluid shear stress in hUVECs.
Sheng X, Gao S, Sheng Y, Xie X, Wang J, He Y
Cell and tissue research 2022 Jan;387(1):95-109
Cell and tissue research 2022 Jan;387(1):95-109
Oxcarbazepine induces mitotic catastrophe and apoptosis in NRK-52E proximal tubular cells.
Ota M, Funakoshi T, Aki T, Unuma K, Uemura K
Toxicology letters 2021 Oct 10;350:240-248
Toxicology letters 2021 Oct 10;350:240-248
Hyperactivation of HER2-SHCBP1-PLK1 axis promotes tumor cell mitosis and impairs trastuzumab sensitivity to gastric cancer.
Shi W, Zhang G, Ma Z, Li L, Liu M, Qin L, Yu Z, Zhao L, Liu Y, Zhang X, Qin J, Ye H, Jiang X, Zhou H, Sun H, Jiao Z
Nature communications 2021 May 14;12(1):2812
Nature communications 2021 May 14;12(1):2812
Stimuli-Responsive and Highly Penetrable Nanoparticles as a Multifunctional Nanoplatform for Boosting Nonsmall Cell Lung Cancer siRNA Therapy.
Shi M, Wang Y, Zhao X, Zhang J, Hu H, Qiao M, Zhao X, Chen D
ACS biomaterials science & engineering 2021 Jul 12;7(7):3141-3155
ACS biomaterials science & engineering 2021 Jul 12;7(7):3141-3155
CDK1-PLK1/SGOL2/ANLN pathway mediating abnormal cell division in cell cycle may be a critical process in hepatocellular carcinoma.
Li L, Huang K, Zhao H, Chen B, Ye Q, Yue J
Cell cycle (Georgetown, Tex.) 2020 May;19(10):1236-1252
Cell cycle (Georgetown, Tex.) 2020 May;19(10):1236-1252
PLK1 Inhibition alleviates transplant-associated obliterative bronchiolitis by suppressing myofibroblast differentiation.
Yu J, Xu H, Cui J, Chen S, Zhang H, Zou Y, Zhao J, Le S, Jiang L, Chen Z, Liu H, Zhang D, Xia J, Wu J
Aging 2020 Jun 15;12(12):11636-11652
Aging 2020 Jun 15;12(12):11636-11652
PHF7 is a novel histone H2A E3 ligase prior to histone-to-protamine exchange during spermiogenesis.
Wang X, Kang JY, Wei L, Yang X, Sun H, Yang S, Lu L, Yan M, Bai M, Chen Y, Long J, Li N, Li D, Huang J, Lei M, Shao Z, Yuan W, Zuo E, Lu K, Liu MF, Li J
Development (Cambridge, England) 2019 Jul 10;146(13)
Development (Cambridge, England) 2019 Jul 10;146(13)
Translation control of the immune checkpoint in cancer and its therapeutic targeting.
Xu Y, Poggio M, Jin HY, Shi Z, Forester CM, Wang Y, Stumpf CR, Xue L, Devericks E, So L, Nguyen HG, Griselin A, Gordan JD, Umetsu SE, Reich SH, Worland ST, Asthana S, Barna M, Webster KR, Cunningham JT, Ruggero D
Nature medicine 2019 Feb;25(2):301-311
Nature medicine 2019 Feb;25(2):301-311
pH-responsive hybrid nanoparticle with enhanced dissociation characteristic for siRNA delivery.
Shi M, Zhao X, Zhang J, Pan S, Yang C, Wei Y, Hu H, Qiao M, Chen D, Zhao X
International journal of nanomedicine 2018;13:6885-6902
International journal of nanomedicine 2018;13:6885-6902
Biocompatible PEGylated Gold nanorods function As cytokinesis inhibitors to suppress angiogenesis.
Song H, Guo T, Zhao Z, Wei Y, Luo H, Weng W, Zhang R, Zhong M, Chen C, Su J, Shen W
Biomaterials 2018 Sep;178:23-35
Biomaterials 2018 Sep;178:23-35
Impact of iASPP on chemoresistance through PLK1 and autophagy in ovarian clear cell carcinoma.
Chan KK, Wong OG, Wong ES, Chan KK, Ip PP, Tse KY, Cheung AN
International journal of cancer 2018 Sep 15;143(6):1456-1469
International journal of cancer 2018 Sep 15;143(6):1456-1469
Effects of PLK1 on proliferation, invasion and metastasis of gastric cancer cells through epithelial-mesenchymal transition.
Song R, Hou G, Yang J, Yuan J, Wang C, Chai T, Liu Z
Oncology letters 2018 Nov;16(5):5739-5744
Oncology letters 2018 Nov;16(5):5739-5744
53BP1 and BRCA1 control pathway choice for stalled replication restart.
Xu Y, Ning S, Wei Z, Xu R, Xu X, Xing M, Guo R, Xu D
eLife 2017 Nov 6;6
eLife 2017 Nov 6;6
No comments: Submit comment
Supportive validation
- Submitted by
- Proteintech Group (provider)
- Main image

- Experimental details
- A375 cells were subjected to SDS PAGE followed by western blot with 10305-1-AP(PLK1 antibody) at dilution of 1:1000
- Sample type
- cell line
Supportive validation
- Submitted by
- Proteintech Group (provider)
- Main image

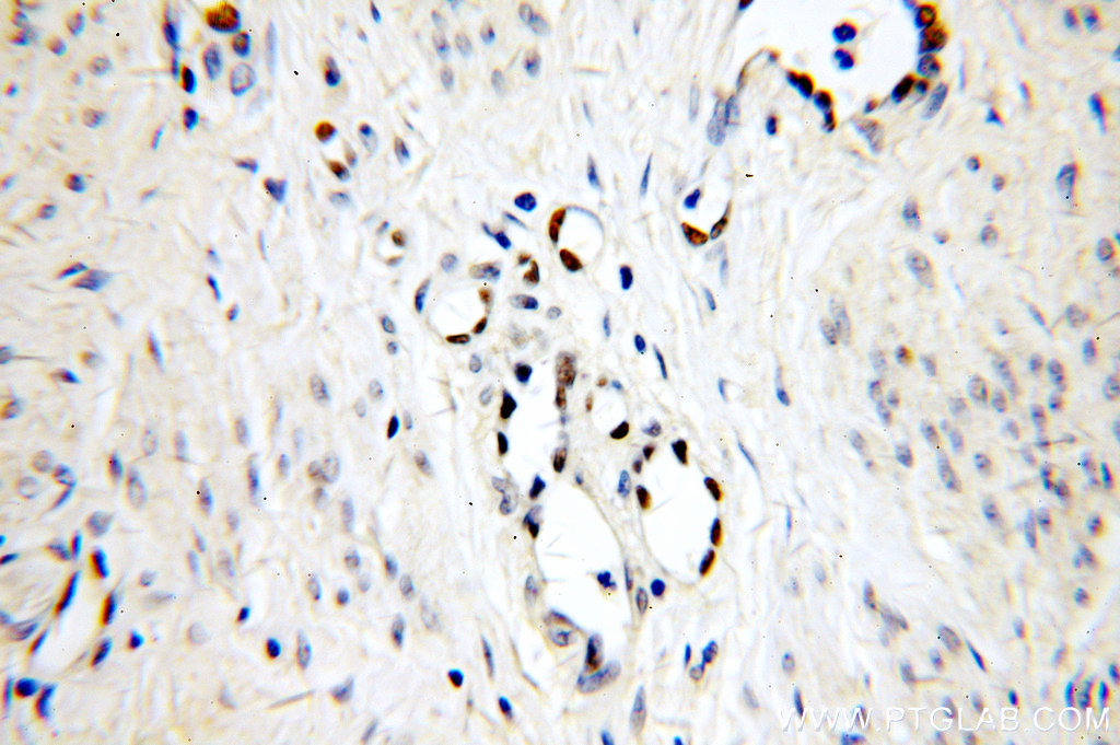
- Experimental details
- Immunohistochemical of paraffin-embedded human cervical cancer using 10305-1-AP(PLK1 antibody) at dilution of 1:50 (under 10x lens)
- Sample type
- tissue
- Submitted by
- Proteintech Group (provider)
- Main image

- Experimental details
- The PLK1 antibody from Proteintech is a rabbit polyclonal antibody to a fusion protein of human PLK1. This antibody recognizes human,mouse,rat antigen. The PLK1 antibody has been validated for the following applications: ELISA, IHC, WB analysis.