Antibody data
- Antibody Data
- Antigen structure
- References [1]
- Comments [0]
- Validations
- Immunohistochemistry [3]
Submit
Validation data
Reference
Comment
Report error
- Product number
- bs-1464R - Provider product page

- Provider
- Bioss
- Proper citation
- Bioss Cat#bs-1464R, RRID:AB_10855060
- Product name
- GnRHR Polyclonal Antibody
- Antibody type
- Polyclonal
- Description
- KLH conjugated synthetic peptide derived from human GnRHR
- Reactivity
- Human, Mouse, Rat, Goat
- Host
- Rabbit
- Conjugate
- Unconjugated
- Isotype
- IgG
- Vial size
- 100ul
- Concentration
- 1ug/ul
- Storage
- Aqueous buffered solution containing 1% BSA, 50% glycerol and 0.09% sodium azide. Store at -20°C for 12 months.
Submitted references Pioglitazone Enhances the Beneficial Effects of Glucocorticoids in Experimental Nephrotic Syndrome.
Agrawal S, Chanley MA, Westbrook D, Nie X, Kitao T, Guess AJ, Benndorf R, Hidalgo G, Smoyer WE
Scientific reports 2016 May 4;6:24392
Scientific reports 2016 May 4;6:24392
No comments: Submit comment
Supportive validation
- Submitted by
- Bioss (provider)
- Main image

- Experimental details
- Formalin-fixed and paraffin embedded human breast cancer labeled with Rabbit Anti-GnRHR Polyclonal Antibody, Unconjugated (bs-1464R) at 1:200, followed by conjugation to the secondary antibody and DAB staining
- Sample type
- Human
- Other comments
- Breast
- Submitted by
- Bioss (provider)
- Main image

- Experimental details
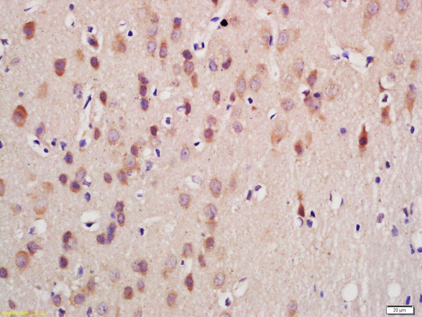
- Formalin-fixed and paraffin embedded rat brain labeled with Anti-GnRHR Polyclonal Antibody, Unconjugated (bs-1464R) at 1:200 followed by conjugation to the secondary antibody and DAB staining
- Sample type
- Rat
- Other comments
- Brain
- Submitted by
- Bioss (provider)
- Main image

- Experimental details
- Formalin-fixed and paraffin-embedded rat brain labeled with Rabbit Anti-GnRHR Polyclonal Antibody, Unconjugated(bs-1464R) 1:200, overnight at 4°C, The secondary antibody was Goat Anti-Rabbit IgG, Cy3 conjugated(bs-0295G-Cy3)used at 1:200 dilution for 40 minutes at 37°C.
- Sample type
- Rat
- Other comments
- Brain