Antibody data
- Antibody Data
- Antigen structure
- References [0]
- Comments [0]
- Validations
- Western blot [1]
- Immunohistochemistry [3]
Submit
Validation data
Reference
Comment
Report error
- Product number
- LS-C111096 - Provider product page

- Provider
- LSBio
- Product name
- TMPRSS11D / HAT Antibody (aa288-337) LS-C111096
- Antibody type
- Polyclonal
- Description
- Immunoaffinity purified
- Reactivity
- Human
- Host
- Rabbit
- Storage
- Short term: Store at 2-8°C. Long term: Aliquot and store at -20°C. Avoid freeze/thaw cycles.
No comments: Submit comment
Enhanced validation
- Submitted by
- LSBio (provider)
- Enhanced method
- Genetic validation
- Main image

- Experimental details
- TMPRSS11D / HAT antibody Western Blot of 293T cells lysate. This image was taken for the unconjugated form of this product. Other forms have not been tested.
Enhanced validation
- Submitted by
- LSBio (provider)
- Enhanced method
- Genetic validation
- Main image

- Experimental details
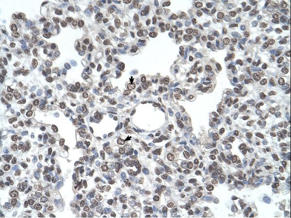
- TMPRSS11D / HAT antibody Immunohistochemistry of HepG2. This image was taken for the unconjugated form of this product. Other forms have not been tested.
- Submitted by
- LSBio (provider)
- Enhanced method
- Genetic validation
- Main image

- Experimental details
- TMPRSS11D / HAT antibody Immunohistochemistry of HepG2. This image was taken for the unconjugated form of this product. Other forms have not been tested.
- Submitted by
- LSBio (provider)
- Main image

- Experimental details
- TMPRSS11D / HAT antibody Immunohistochemistry of HepG2. This image was taken for the unconjugated form of this product. Other forms have not been tested.