Antibody data
- Antibody Data
- Antigen structure
- References [1]
- Comments [0]
- Validations
- Western blot [1]
- Immunocytochemistry [1]
- Immunohistochemistry [2]
Submit
Validation data
Reference
Comment
Report error
- Product number
- GTX117370 - Provider product page

- Provider
- GeneTex
- Proper citation
- GeneTex Cat#GTX117370, RRID:AB_11163589
- Product name
- TMPRSS11D antibody
- Antibody type
- Polyclonal
- Reactivity
- Human
- Host
- Rabbit
Submitted references The serine protease inhibitor camostat inhibits influenza virus replication and cytokine production in primary cultures of human tracheal epithelial cells.
Yamaya M, Shimotai Y, Hatachi Y, Lusamba Kalonji N, Tando Y, Kitajima Y, Matsuo K, Kubo H, Nagatomi R, Hongo S, Homma M, Nishimura H
Pulmonary pharmacology & therapeutics 2015 Aug;33:66-74
Pulmonary pharmacology & therapeutics 2015 Aug;33:66-74
No comments: Submit comment
Supportive validation
- Submitted by
- GeneTex (provider)
- Main image

- Experimental details
- TMPRSS11D antibody detects TMPRSS11D protein by western blot analysis. Whole cell extracts (30 £gg) was separated by 10% SDS-PAGE, and the membrane was blotted with TMPRSS11D antibody (GTX117370) diluted by 1:500.
Supportive validation
- Submitted by
- GeneTex (provider)
- Main image

- Experimental details
- TMPRSS11D antibody detects secreted TMPRSS11D protein by immunofluorescent analysis.Sample: A431 cells were fixed in 4% paraformaldehyde at RT for 15 min.Green: TMPRSS11D protein stained by TMPRSS11D antibody (GTX117370) diluted at 1:500.Blue: Hoechst 33342 staining.Scale bar = 10 £gm.
Supportive validation
- Submitted by
- GeneTex (provider)
- Main image

- Experimental details
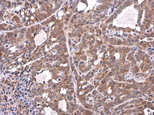
- TMPRSS11D antibody detects TMPRSS11D protein at cytoplasm in NCl-H1299 xenograft by immunohistochemical analysis. Sample: Paraffin-embedded NCl-H1299 xenograft. TMPRSS11D antibody (GTX117370) diluted at 1:500.
- Submitted by
- GeneTex (provider)
- Main image

- Experimental details
- TMPRSS11D antibody detects TMPRSS11D protein at cell membrane and cytoplasm in MCF7 xenograft by immunohistochemical analysis. Sample: Paraffin-embedded MCF7 xenograft. TMPRSS11D antibody (GTX117370) diluted at 1:500.