Antibody data
- Antibody Data
- Antigen structure
- References [0]
- Comments [0]
- Validations
- Western blot [1]
- Immunohistochemistry [1]
Submit
Validation data
Reference
Comment
Report error
- Product number
- AP52773PU-N - Provider product page

- Provider
- Acris Antibodies GmbH
- Proper citation
- Acris Antibodies GmbH Cat#AP52773PU-N, RRID:AB_11147999
- Product name
- anti Mucin-15 (C-term)
- Antibody type
- Polyclonal
- Antigen
- Synthetic peptide - KLH conjugated - corresponding to the C-terminal region (between 208-237aa) of human Mucin-15
- Reactivity
- Human
- Host
- Rabbit
- Vial size
- 0.4 ml
- Concentration
- lot specific
No comments: Submit comment
Supportive validation
- Submitted by
- Acris Antibodies GmbH (provider)
- Main image

- Experimental details
- Western blot analysis in WiDr cell line lysates (35ug/lane) using Mucin-15 antibody Cat.-No. AP52773PU-N (C-term). This demonstrates this antibody detected the Mucin-15 protein (arrow).
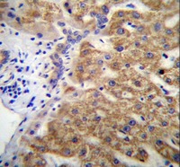
Supportive validation
- Submitted by
- Acris Antibodies GmbH (provider)
- Main image

- Experimental details
- Immunohistochemistry analysis in human liver tissue (Formalin-fixed, Paraffin-embedded) using Mucin-15 antibody Cat.-No. AP52773PU-N (C-term), followed by peroxidase conjugated secondary antibody and DAB staining. This data demonstrates the use of this antibody for IHC. Clinical relevance has not been evaluated.