Antibody data
- Antibody Data
- Antigen structure
- References [0]
- Comments [0]
- Validations
- Western blot [1]
- Immunohistochemistry [2]
Submit
Validation data
Reference
Comment
Report error
- Product number
- AP06024PU-N - Provider product page

- Provider
- Acris Antibodies GmbH
- Proper citation
- Acris Antibodies GmbH Cat#AP06024PU-N, RRID:AB_1610989
- Product name
- anti ATF4
- Antibody type
- Polyclonal
- Antigen
- Synthetic peptide, corresponding to amino acids 200-250 of Human ATF4.
- Reactivity
- Human, Rat
- Host
- Rabbit
- Vial size
- 0.1 mg
- Concentration
- 1.0 mg/ml
No comments: Submit comment
Supportive validation
- Submitted by
- Acris Antibodies GmbH (provider)
- Main image

- Experimental details
- Western blot (WB) analysis of ATF4 antibody (Cat.-No.: AP06024PU-N) at 1/500 dilution Lane1:MCF-7 cell lysate Lane2:Mouse brain tissue lysate Lane3:Rat brain tissue lysate
Supportive validation
- Submitted by
- Acris Antibodies GmbH (provider)
- Main image

- Experimental details
- Immunohistochemistry (IHC) analysis of ATF4 antibody in paraffin-embedded human breast carcinoma tissue.
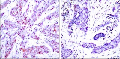
- Submitted by
- Acris Antibodies GmbH (provider)
- Main image

- Experimental details
- Immunohistochemistry (IHC) analysis of ATF4 antibody (Cat.-No.: AP06024PU-N) in paraffin-embedded human breast carcinoma tissue.