Antibody data
- Antibody Data
- Antigen structure
- References [0]
- Comments [0]
- Validations
- Immunohistochemistry [1]
Submit
Validation data
Reference
Comment
Report error
- Product number
- A03608-1 - Provider product page

- Provider
- Boster Biological Technology
- Product name
- Anti-Ndufs4 Antibody
- Antibody type
- Polyclonal
- Description
- Anti-Ndufs4 Antibody validated for WB, IP, IHC, Flow Cytometry. Reactive to Human, Mouse, Rat.
- Reactivity
- Human, Mouse, Rat
- Host
- Rabbit
- Vial size
- 100ul
- Storage
- At -20°C for one year. At 4°C for one month. It can also be aliquoted and stored frozen at -20°C for a longer time. Avoid repeated freezing and thawing.
No comments: Submit comment
Supportive validation
- Submitted by
- Boster Biological Technology (provider)
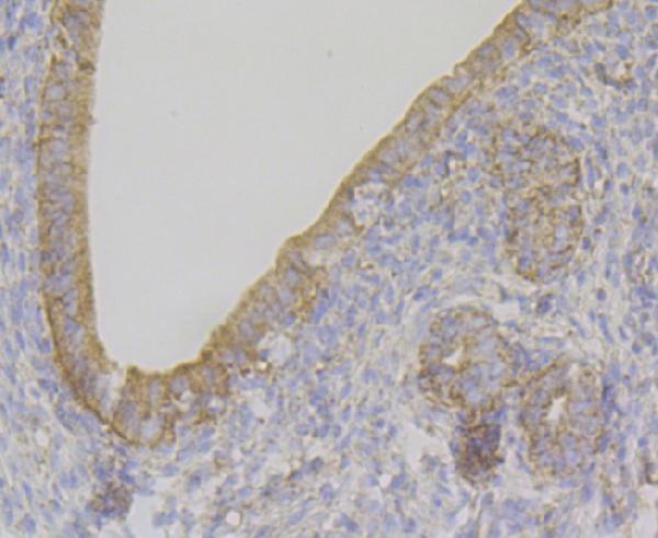
- Main image

- Experimental details
- Immunohistochemistry validation of NDUFS4 using Anti-Ndufs4 Antibody (A03608-1). Immunohistochemical analysis of paraffin-embedded rat uterus tissue using anti-Ndufs4 antibody. The section was pre-treated using heat mediated antigen retrieval with Tris-EDTA buffer (pH 8.0-8.4) for 20 minutes. The tissues were blocked in 5% BSA for 30 minutes at room temperature
- Additional image
