Antibody data
- Antibody Data
- Antigen structure
- References [0]
- Comments [0]
- Validations
- Western blot [1]
- Immunohistochemistry [1]
Submit
Validation data
Reference
Comment
Report error
- Product number
- AP06684PU-N - Provider product page 
- Provider
- OriGene
- Product name
- Recoverin (RCVRN) rabbit polyclonal antibody, Aff - Purified
- Antibody type
- Polyclonal
- Description
- Recoverin (RCVRN) rabbit polyclonal antibody, Aff - Purified
- Host
- Rabbit
- Conjugate
- Unconjugated
- Epitope
- RCVRN
- Antibody clone number
- NULL
- Vial size
- 100 µg
- Concentration
- 1.0 mg/ml
				No comments: Submit comment	
	
			
							
					Supportive validation
					
									
				
				- Submitted by
- OriGene (provider)
- Main image
 
- Experimental details
- Western blot (WB) analysis of Recoverin Antibody in extracts from NIH-3T3 cells.
- Validation comment
- WB
							
					Supportive validation
					
									
				
		- Submitted by
- OriGene (provider)
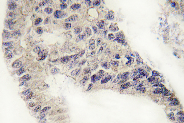
- Main image
 
- Experimental details
- Immunohistochemistry (IHC) analyzes of Recoverin antibody in paraffin-embedded human lung carcinoma tissue.
- Validation comment
- IHC