Antibody data
- Antibody Data
- Antigen structure
- References [0]
- Comments [0]
- Validations
- Western blot [1]
- Immunohistochemistry [1]
Submit
Validation data
Reference
Comment
Report error
- Product number
- AP11597PU-N - Provider product page 
- Provider
- OriGene
- Product name
- Recoverin (RCVRN) (C-term) rabbit polyclonal antibody, Purified
- Antibody type
- Polyclonal
- Description
- Recoverin (RCVRN) (C-term) rabbit polyclonal antibody, Purified
- Host
- Rabbit
- Conjugate
- Unconjugated
- Epitope
- RCVRN
- Antibody clone number
- NULL
- Vial size
- 400 µl
- Concentration
- lot specific
				No comments: Submit comment	
	
			
							
					Supportive validation
					
									
				
				- Submitted by
- OriGene (provider)
- Main image
 
- Experimental details
- The anti-Recoverin C-term is used in Western blot to detect Recoverin in Y79 cell lysate.
- Validation comment
- WB
							
					Supportive validation
					
									
				
		- Submitted by
- OriGene (provider)
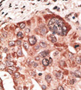
- Main image
 
- Experimental details
- Formalin-fixed and paraffin-embedded human hepatocarcinoma reacted with the primary antibody, which was peroxidase-conjugated to the secondary antibody, followed by DAB staining. This data demonstrates the use of this antibody for immunohistochemistry; clinical relevance has not been evaluated.
- Validation comment
- IHC