Antibody data
- Antibody Data
- Antigen structure
- References [0]
- Comments [0]
- Validations
- Immunohistochemistry [1]
Submit
Validation data
Reference
Comment
Report error
- Product number
- AM08455PU-N - Provider product page

- Provider
- Acris Antibodies GmbH
- Proper citation
- Acris Antibodies GmbH Cat#AM08455PU-N, RRID:AB_2035723
- Product name
- anti LGR4 / GPR48
- Antibody type
- Monoclonal
- Antigen
- Synthetic peptide corresponding to an internal region of Human LGR4 protein
- Reactivity
- Human
- Host
- Mouse
- Isotype
- IgG
- Antibody clone number
- 6G8.B3.G5.C3
- Vial size
- 0.1 mg
- Concentration
- 1.13 mg/ml (by UV absorbance at 280 nm)
No comments: Submit comment
Supportive validation
- Submitted by
- Acris Antibodies GmbH (provider)
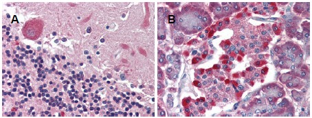
- Main image

- Experimental details
- AM08455PU-N LGR4 antibody staining of various Human tissues at the membrane of cells at 5 µg/ml. A: Brain cerebellum, B: Pancreas islet. Strongly positive staining is noted in subsets of cells within the islets of Langerhans. Moderately positive staiing was observed in Purkinje and Golgi neurons of the cerebellum, adrenal medulla, neuroendocrine cells, hepatocytes, lung macrophages, seminiferous tubules and Leydig cells of the testis. Faintly to moderately positive staining was also observed in cardiac myocytes and renal tubules, granulocytes, and subsets of lymphocytes. Some elastin background staining is noted. Tissue was formalin fixed and paraffin embedded. No pretreatment of sample was required. The image shows the localization of antibody as the precipitated red signal, with a hematoxylin purple nuclear counterstain. Personal communication, Andrew Elston, Lifespan Biosciences, Seattle, WA.