Antibody data
- Antibody Data
- Antigen structure
- References [0]
- Comments [0]
- Validations
- Western blot [3]
- Immunohistochemistry [3]
Submit
Validation data
Reference
Comment
Report error
- Product number
- LS-C185478 - Provider product page

- Provider
- LSBio
- Product name
- NDUFV2 Antibody (aa1-249) LS-C185478
- Antibody type
- Polyclonal
- Description
- Immunoaffinity purified
- Reactivity
- Human
- Host
- Rabbit
- Storage
- Keep as concentrated solution. Aliquot and store at -20°C or below. Avoid multiple freeze-thaw cycles.
No comments: Submit comment
Enhanced validation
- Submitted by
- LSBio (provider)
- Enhanced method
- Genetic validation
- Main image

- Experimental details
- Sample (30 ug of whole cell lysate). A: A431. 12% SDS PAGE. NDUFV2 antibody diluted at 1:1500.
- Submitted by
- LSBio (provider)
- Enhanced method
- Genetic validation
- Main image

- Experimental details
- NDUFV2 antibody detects NDUFV2 protein by Western blot analysis. A. 50 ug mouse liver lysate/extract. 12 % SDS-PAGE. NDUFV2 antibody dilution:1:500
- Submitted by
- LSBio (provider)
- Enhanced method
- Genetic validation
- Main image

- Experimental details
- NDUFV2 antibody detects NDUFV2 protein by Western blot analysis. A. 50 ug rat liver lysate/extract. 12 % SDS-PAGE. NDUFV2 antibody dilution:1:500
Supportive validation
- Submitted by
- LSBio (provider)
- Enhanced method
- Genetic validation
- Main image

- Experimental details
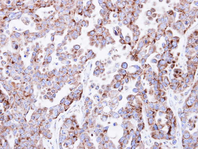
- IHC of paraffin-embedded OVCAR3 xenograft using NDUFV2 antibody at 1:100 dilution.
- Submitted by
- LSBio (provider)
- Enhanced method
- Genetic validation
- Main image

- Experimental details
- IHC of paraffin-embedded OVCAR3 xenograft using NDUFV2 antibody at 1:100 dilution.
- Submitted by
- LSBio (provider)
- Enhanced method
- Genetic validation
- Main image

- Experimental details
- IHC of paraffin-embedded OVCAR3 xenograft using NDUFV2 antibody at 1:100 dilution.