Antibody data
- Antibody Data
- Antigen structure
- References [1]
- Comments [0]
- Validations
- Western blot [1]
- Immunocytochemistry [6]
Submit
Validation data
Reference
Comment
Report error
- Product number
- LS-C47292 - Provider product page

- Provider
- LSBio
- Proper citation
- LifeSpan Cat#LS-C47292, RRID:AB_2127822
- Product name
- IPO8 / Importin 8 Antibody (aa850-900) LS-C47292
- Antibody type
- Polyclonal
- Description
- Protein G purified
- Reactivity
- Human, Simian
- Host
- Rabbit
- Isotype
- IgG
- Storage
- Store at -20°C. Avoid freeze-thaw cycles.
Submitted references Importin 8 regulates the transport of mature microRNAs into the cell nucleus.
Wei Y, Li L, Wang D, Zhang CY, Zen K
The Journal of biological chemistry 2014 Apr 11;289(15):10270-10275
The Journal of biological chemistry 2014 Apr 11;289(15):10270-10275
No comments: Submit comment
Enhanced validation
- Submitted by
- LSBio (provider)
- Enhanced method
- Genetic validation
- Main image

- Experimental details
- Western blot of human Importin-8inHeLa cell lysate in the 1) absence and 2) presence of immunizing peptide using antibody at1 ug/ml.
Supportive validation
- Submitted by
- LSBio (provider)
- Enhanced method
- Genetic validation
- Main image

- Experimental details
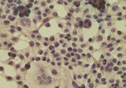
- ICC staining of HeLa cells using antibody (Importin-8) at 5 ug/ml.
- Submitted by
- LSBio (provider)
- Enhanced method
- Genetic validation
- Main image

- Experimental details
- ICC staining of HeLa cells using control (Rabbit Ig) at 5 ug/ml.
- Submitted by
- LSBio (provider)
- Main image

- Experimental details
- ICC staining of HeLa cells using antibody (Importin-8) at 5 ug/ml.
- Submitted by
- LSBio (provider)
- Main image

- Experimental details
- ICC staining of HeLa cells using control (Rabbit Ig) at 5 ug/ml.
- Submitted by
- LSBio (provider)
- Main image

- Experimental details
- ICC staining of HeLa cells using antibody (Importin-8) at 5 ug/ml.
- Submitted by
- LSBio (provider)
- Main image

- Experimental details
- ICC staining of HeLa cells using control (Rabbit Ig) at 5 ug/ml.