Antibody data
- Antibody Data
- Antigen structure
- References [0]
- Comments [0]
- Validations
- Western blot [1]
- Immunohistochemistry [2]
Submit
Validation data
Reference
Comment
Report error
- Product number
- AM06333SU-N - Provider product page

- Provider
- Acris Antibodies GmbH
- Proper citation
- Acris Antibodies GmbH Cat#AM06333SU-N, RRID:AB_11214747
- Product name
- anti MYL3
- Antibody type
- Monoclonal
- Antigen
- Purified recombinant fragment of MYL3 expressed in E. Coli.
- Reactivity
- Human
- Host
- Mouse
- Isotype
- IgG
- Antibody clone number
- 3F8
- Vial size
- 0.1 ml
No comments: Submit comment
Supportive validation
- Submitted by
- Acris Antibodies GmbH (provider)
- Main image

- Experimental details
- Western blot analysis using MYL3 antibody cat.-No AM06333SU-N (Lane 1) and MYL2 (Lane 2) against rat fetal heart tissues lysate.
Supportive validation
- Submitted by
- Acris Antibodies GmbH (provider)
- Main image

- Experimental details
- Immunohistochemical analysis of paraffin-embedded human Skeletal Muscle tissues using MYL3 antibody Cat.-No AM06333SU-N
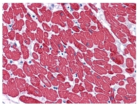
- Submitted by
- Acris Antibodies GmbH (provider)
- Main image

- Experimental details
- Immunohistochemical analysis of paraffin-embedded human Heart tissues using MYL3 antibody Cat.-No AM06333SU-N