Antibody data
- Antibody Data
- Antigen structure
- References [0]
- Comments [0]
- Validations
- Western blot [1]
- Immunocytochemistry [1]
- Immunohistochemistry [7]
Submit
Validation data
Reference
Comment
Report error
- Product number
- TA501132 - Provider product page

- Provider
- OriGene
- Proper citation
- OriGene Cat#TA501132, RRID:AB_11124586
- Product name
- Anti-DNTTIP1 mouse monoclonal antibody, clone OTI1F4 (formerly 1F4)
- Antibody type
- Monoclonal
- Description
- Anti-DNTTIP1 mouse monoclonal antibody, clone OTI1F4 (formerly 1F4)
- Host
- Mouse
- Conjugate
- Unconjugated
- Epitope
- DNTTIP1
- Isotype
- IgG
- Antibody clone number
- OTI1F4
- Vial size
- 100 µl
- Concentration
- 1.00mg/ml
No comments: Submit comment
Supportive validation
- Submitted by
- OriGene (provider)
- Main image

- Experimental details
- HEK293T cells were transfected with the pCMV6-ENTRY control (Left lane) or pCMV6-ENTRY DNTTIP1 (RC206867, Right lane) cDNA for 48 hrs and lysed. Equivalent amounts of cell lysates (5 ug per lane) were separated by SDS-PAGE and immunoblotted with anti-DNTTIP1.
- Validation comment
- WB
Supportive validation
- Submitted by
- OriGene (provider)
- Main image

- Experimental details
- Anti-DNTTIP1 mouse monoclonal antibody (TA501132) immunofluorescent staining of COS7 cells transiently transfected by pCMV6-ENTRY DNTTIP1(RC206867).
- Validation comment
- IF
Supportive validation
- Submitted by
- OriGene (provider)
- Main image

- Experimental details
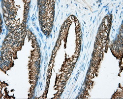
- Immunohistochemical staining of paraffin-embedded Adenocarcinoma of colon tissue using anti-DNTTIP1 mouse monoclonal antibody. (Heat-induced epitope retrieval by 10mM citric buffer, pH6.0, 100C for 10min, TA501132, Dilution 1:50)
- Validation comment
- IHC
- Submitted by
- OriGene (provider)
- Main image

- Experimental details
- Immunohistochemical staining of paraffin-embedded Kidney tissue within the normal limits using anti-DNTTIP1 mouse monoclonal antibody. (Heat-induced epitope retrieval by 10mM citric buffer, pH6.0, 100C for 10min, TA501132, Dilution 1:50)
- Validation comment
- IHC
- Submitted by
- OriGene (provider)
- Main image

- Experimental details
- Immunohistochemical staining of paraffin-embedded liver tissue within the normal limits using anti-DNTTIP1 mouse monoclonal antibody. (Heat-induced epitope retrieval by 10mM citric buffer, pH6.0, 100C for 10min, TA501132, Dilution 1:50)
- Validation comment
- IHC
- Submitted by
- OriGene (provider)
- Main image

- Experimental details
- Immunohistochemical staining of paraffin-embedded Adenocarcinoma of ovary tissue using anti-DNTTIP1 mouse monoclonal antibody. (Heat-induced epitope retrieval by 10mM citric buffer, pH6.0, 100C for 10min, TA501132, Dilution 1:50)
- Validation comment
- IHC
- Submitted by
- OriGene (provider)
- Main image

- Experimental details
- Immunohistochemical staining of paraffin-embedded pancreas tissue within the normal limits using anti-DNTTIP1 mouse monoclonal antibody. (Heat-induced epitope retrieval by 10mM citric buffer, pH6.0, 100C for 10min, TA501132, Dilution 1:50)
- Validation comment
- IHC
- Submitted by
- OriGene (provider)
- Main image

- Experimental details
- Immunohistochemical staining of paraffin-embedded prostate tissue within the normal limits using anti-DNTTIP1 mouse monoclonal antibody. (Heat-induced epitope retrieval by 10mM citric buffer, pH6.0, 100C for 10min, TA501132, Dilution 1:50)
- Validation comment
- IHC
- Submitted by
- OriGene (provider)
- Main image

- Experimental details
- Immunohistochemical staining of paraffin-embedded Carcinoma of prostate tissue using anti-DNTTIP1 mouse monoclonal antibody. (Heat-induced epitope retrieval by 10mM citric buffer, pH6.0, 100C for 10min, TA501132, Dilution 1:50)
- Validation comment
- IHC