Antibody data
- Antibody Data
- Antigen structure
- References [0]
- Comments [0]
- Validations
- Western blot [1]
- Immunohistochemistry [1]
Submit
Validation data
Reference
Comment
Report error
- Product number
- PA5-53718 - Provider product page

- Provider
- Invitrogen Antibodies
- Product name
- Anti-hCV-2 Polyclonal Antibody
- Antibody type
- Polyclonal
- Antigen
- Recombinant full-length protein
- Description
- Immunogen sequence: FGSCLFRSDV YDNGSSFLYD NCTACTCRDS TVVCKRKCSH PGGCDQGQEG CCEECLLRVP PEDIKVCKFG NKIFQDGEMW SSINCTICAC VKGRTECRNK QCIPISSCPQ GKILNRKGCC PICTEKPGVC TVFGD Highest antigen sequence identity to the following orthologs: Mouse - 84%, Rat - 84%.
- Reactivity
- Human
- Host
- Rabbit
- Isotype
- IgG
- Vial size
- 100 µl
- Concentration
- Lot-Specific
- Storage
- Store at 4°C short term. For long term storage, store at -20°C, avoiding freeze/thaw cycles.
No comments: Submit comment
Supportive validation
- Submitted by
- Invitrogen Antibodies (provider)
- Main image

- Experimental details
- Western blot analysis of hCV-2 in Lane 1: Marker (kDa) 230, 130, 95, 72, 56, 36, 28, 17, 11; Lane 2: Human cell line RT-4; Lane 3: Human cell line U-251MG sp. Samples were probed using a hCV-2 Polyclonal Antibody (Product # PA5-53718).
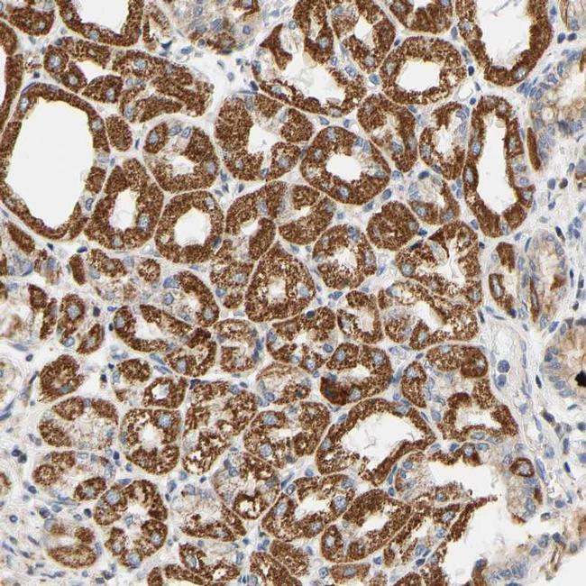
Supportive validation
- Submitted by
- Invitrogen Antibodies (provider)
- Main image

- Experimental details
- Immunohistochemical staining of hCV-2 in human stomach tissue shows strong cytoplasmic positivity in glandular cells. Samples were probed using a hCV-2 Polyclonal Antibody (Product # PA5-53718).