Antibody data
- Antibody Data
- Antigen structure
- References [0]
- Comments [0]
- Validations
- Western blot [1]
- Immunohistochemistry [1]
Submit
Validation data
Reference
Comment
Report error
- Product number
- MAB9935 - Provider product page

- Provider
- Abnova Corporation
- Proper citation
- Abnova Corporation Cat#MAB9935, RRID:AB_10808037
- Product name
- IL18 monoclonal antibody, clone 2
- Antibody type
- Monoclonal
- Description
- Mouse monoclonal antibody raised against full length recombinant IL18.
- Isotype
- IgG
- Antibody clone number
- 2
- Storage
- Store at 4°C. For long term storage store at -20°C.Aliquot to avoid repeated freezing and thawing.
No comments: Submit comment
Supportive validation
- Submitted by
- Abnova Corporation (provider)
- Main image

- Experimental details
- Western blot analysis of recombinant IL18 protein with IL18 monoclonal antibody, clone 2 (Cat # MAB9935) at 1:1000 dilution.
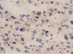
Supportive validation
- Submitted by
- Abnova Corporation (provider)
- Main image

- Experimental details
- Immunohistochemical staining of human liver cancer tissue section with IL18 monoclonal antibody, clone 2 (Cat # MAB9935) at 1:10 dilution.
- Validation comment
- Immunohistochemistry