Antibody data
- Antibody Data
- Antigen structure
- References [0]
- Comments [0]
- Validations
- Western blot [1]
- Immunohistochemistry [4]
Submit
Validation data
Reference
Comment
Report error
- Product number
- Ab110010 - Provider product page

- Provider
- Aladdin Scientific
- Product name
- IL-18 Mouse mAb
- Antibody type
- Monoclonal
- Description
- Mouse anti Human IL-18 Antibody, Monoclonal (C10), could be used for WB, IHC and so on. Application: WB: 0.5-2µg/mL IHC: 5-20µg/mL Protein Function Augments natural killer cell activity in spleen cells and stimulates interferon gamma production in T-helper type I cells.
- Reactivity
- Human
- Host
- Mouse
- Conjugate
- Unconjugated
- Antigen sequence
AA 94-193- Antibody clone number
- C10
- Vial size
- 100_l,10_l,1ml,20_l,50_l
- Concentration
- Lot by Lot
- Storage
- Store at 4_ short term (1-2 weeks). Store at -20_ long term (24 months). Upon delivery aliquot. Avoid freeze/thaw cycle.
No comments: Submit comment
Supportive validation
- Submitted by
- Aladdin Scientific (provider)
- Main image

- Experimental details
- IL-18 Mouse mAb (Ab110010) - Western Blot All lanes: IL-18 Mouse mAb (Ab110010) at 1/1000 dilution Samples: Lysates at 20 µg per lane Secondary: Goat Anti-Mouse IgG H&L (HRP) (Ab138040) at 1/20000 dilution Predicted band size: 22 kDa Observed band size: 22 kDa Exposure time: 20.7 s
Supportive validation
- Submitted by
- Aladdin Scientific (provider)
- Main image

- Experimental details
- IL-18 Mouse mAb (Ab110010) - IHC DAB staining on IHC Sample: Human Kidney Tissue Primary Ab: 20 µg/mL IL-18 Mouse mAb (Ab110010) Second Ab: 2 µg/mL HRP-Linked Caprine Anti-Mouse IgG Polyclonal Antibody.
- Submitted by
- Aladdin Scientific (provider)
- Main image

- Experimental details
- IL-18 Mouse mAb (Ab110010) - IHC DAB staining on IHC Sample: Human Spleen Tissue Primary Ab: 20 µg/mL IL-18 Mouse mAb (Ab110010) Second Ab: 2 µg/mL HRP-Linked Caprine Anti-Mouse IgG Polyclonal Antibody.
- Submitted by
- Aladdin Scientific (provider)
- Main image

- Experimental details
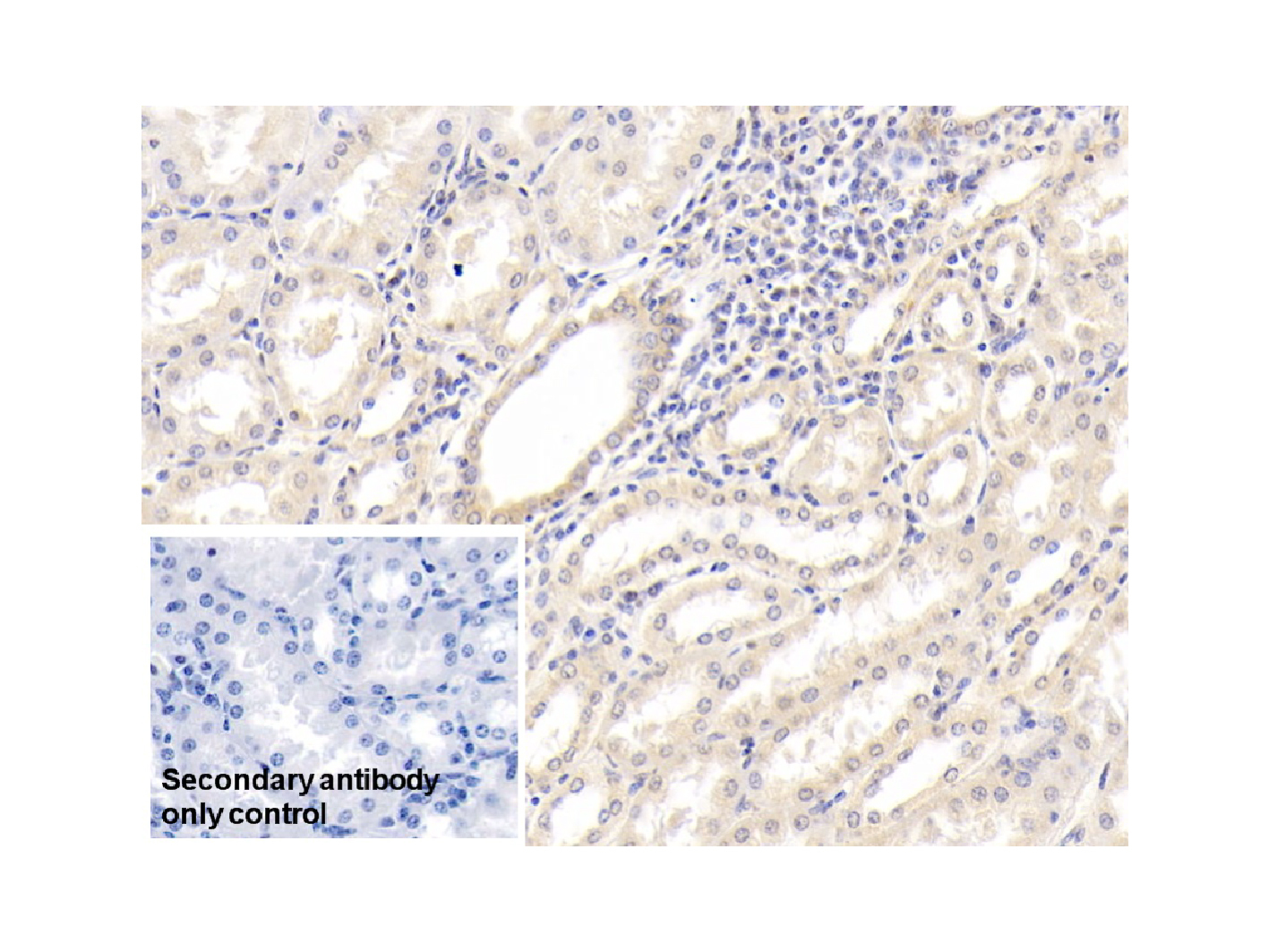
- IL-18 Mouse mAb (Ab110010) - IHC DAB staining on IHC Sample: Human Kidney Tissue Primary Ab: 20 µg/mL IL-18 Mouse mAb (Ab110010) Control: Used PBS instead of primary antibody Second Ab: 2 µg/mL HRP-Linked Caprine Anti-Mouse IgG Polyclonal Antibody.
- Submitted by
- Aladdin Scientific (provider)
- Main image

- Experimental details
- IL-18 Mouse mAb (Ab110010) - IHC DAB staining on IHC Sample: Human Spleen Tissue Primary Ab: 20 µg/mL IL-18 Mouse mAb (Ab110010) Control: Used PBS instead of primary antibody Second Ab: 2 µg/mL HRP-Linked Caprine Anti-Mouse IgG Polyclonal Antibody.