Antibody data
- Antibody Data
- Antigen structure
- References [0]
- Comments [0]
- Validations
- Western blot [1]
- Immunohistochemistry [1]
- Flow cytometry [1]
Submit
Validation data
Reference
Comment
Report error
- Product number
- NBP2-29953 - Provider product page

- Provider
- Novus Biologicals
- Product name
- Rabbit Polyclonal HAPLN1 Antibody
- Antibody type
- Polyclonal
- Description
- Protein A purified.
- Reactivity
- Human
- Host
- Rabbit
- Isotype
- IgG
- Vial size
- 0.4 ml
- Concentration
- 0.5 mg/ml
- Storage
- Store at 4C short term. Aliquot and store at -20C long term. Avoid freeze-thaw cycles.
No comments: Submit comment
Supportive validation
- Submitted by
- Novus Biologicals (provider)
- Main image

- Experimental details
- Western Blot: HAPLN1 Antibody [NBP2-29953] - Western blot analysis in MCF-7(lane 1),Jurkat(lane 2),HepG2(lane 3) cell line lysates (35ug/lane).This demonstrates the HAPLN1 antibody detected the HAPLN1 protein (arrow).
Supportive validation
- Submitted by
- Novus Biologicals (provider)
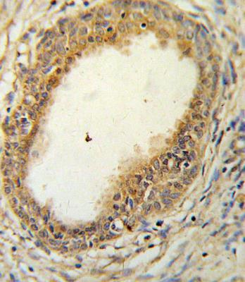
- Main image

- Experimental details
- Immunohistochemistry-Paraffin: HAPLN1 Antibody [NBP2-29953] - IHC analysis in formalin fixed and paraffin embedded prostate carcinoma followed by peroxidase conjugation of the secondary antibody and DAB staining. This data demonstrates the use of the (N-term)for immunohistochemistry. Clinical relevance has not been evaluated.
Supportive validation
- Submitted by
- Novus Biologicals (provider)
- Main image

- Experimental details
- Flow Cytometry: HAPLN1 Antibody [NBP2-29953] - Flow cytometric analysis of MCF-7 cells (right histogram) compared to a negative control cell (left histogram).FITC-conjugated goat-anti-rabbit secondary antibodies were used for the analysis.