Antibody data
- Antibody Data
- Antigen structure
- References [0]
- Comments [0]
- Validations
- Western blot [1]
- Immunohistochemistry [1]
Submit
Validation data
Reference
Comment
Report error
- Product number
- EB07290 - Provider product page

- Provider
- Everest Biotech
- Proper citation
- Everest Biotech Cat#EB07290, RRID:AB_2121420
- Product name
- Goat anti-GPR94 / TRA1 Antibody
- Antibody type
- Polyclonal
- Description
- Goat anti-GPR94 / TRA1 Antibody
- Reactivity
- Human, Mouse
- Host
- Goat
- Antigen sequence
C-KEGVKFDESEKTKE- Epitope
- internal region
- Isotype
- IgG
- Vial size
- 100µg specific antibody in 200µl
- Concentration
- 0.5 mg/ml
- Storage
- Aliquot and store at -20°C. Minimize freezing and thawing.
No comments: Submit comment
Supportive validation
- Submitted by
- Everest Biotech (provider)
- Main image

- Experimental details
- EB07290 (0.03µg/ml) staining of NIH3T3 lysate (35µg protein in RIPA buffer). Primary incubation was 1 hour. Detected by chemiluminescence.
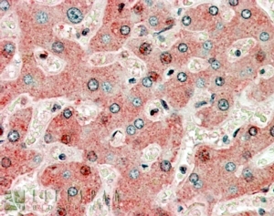
Supportive validation
- Submitted by
- Everest Biotech (provider)
- Main image

- Experimental details
- EB07290 (3.8µg/ml) staining of paraffin embedded Human Liver. Steamed antigen retrieval with citrate buffer pH 6, AP-staining.