Antibody data
- Antibody Data
- Antigen structure
- References [3]
- Comments [0]
- Validations
- Western blot [2]
- Immunocytochemistry [1]
- Immunohistochemistry [1]
Submit
Validation data
Reference
Comment
Report error
- Product number
- MAB6618 - Provider product page

- Provider
- Abnova Corporation
- Proper citation
- Abnova Corporation Cat#MAB6618, RRID:AB_10675590
- Product name
- HSP90B1 monoclonal antibody, clone H9010
- Antibody type
- Monoclonal
- Description
- Mouse monoclonal antibody raised against recombinant HSP90B1.
- Isotype
- IgG
- Antibody clone number
- H9010
- Storage
- Store at -20°C.Aliquot to avoid repeated freezing and thawing.
Submitted references Hsp90 inhibitors as novel cancer chemotherapeutic agents.
Analysis of FKBP51/FKBP52 chimeras and mutants for Hsp90 binding and association with progesterone receptor complexes.
Perturbation of Hsp90 interaction with nascent CFTR prevents its maturation and accelerates its degradation by the proteasome.
Neckers L
Trends in molecular medicine 2002;8(4 Suppl):S55-61
Trends in molecular medicine 2002;8(4 Suppl):S55-61
Analysis of FKBP51/FKBP52 chimeras and mutants for Hsp90 binding and association with progesterone receptor complexes.
Barent RL, Nair SC, Carr DC, Ruan Y, Rimerman RA, Fulton J, Zhang Y, Smith DF
Molecular endocrinology (Baltimore, Md.) 1998 Mar;12(3):342-54
Molecular endocrinology (Baltimore, Md.) 1998 Mar;12(3):342-54
Perturbation of Hsp90 interaction with nascent CFTR prevents its maturation and accelerates its degradation by the proteasome.
Loo MA, Jensen TJ, Cui L, Hou Y, Chang XB, Riordan JR
The EMBO journal 1998 Dec 1;17(23):6879-87
The EMBO journal 1998 Dec 1;17(23):6879-87
No comments: Submit comment
Supportive validation
- Submitted by
- Abnova Corporation (provider)
- Main image

- Experimental details
- Western blot analysis of heat shock HeLa lysate with HSP90B1 monoclonal antibody, clone H9010 (Cat # MAB6618).
- Submitted by
- Abnova Corporation (provider)
- Main image

- Experimental details
- Western blot analysis form cell lines extracts with HSP90B1 monoclonal antibody, clone H9010 (Cat # MAB6618).
Supportive validation
- Submitted by
- Abnova Corporation (provider)
- Main image

- Experimental details
- Immunofluorescence staining of mouse colon (A) and human colon cancer (B) with HSP90B1 monoclonal antibody, clone H9010 (Cat # MAB6618) at 100,000 fold dilution.
- Validation comment
- Immunofluorescence
Supportive validation
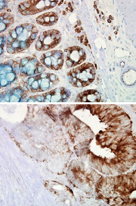
- Submitted by
- Abnova Corporation (provider)
- Main image

- Experimental details
- Immunochemical staining of human colon cancer with HSP90B1 monoclonal antibody, clone H9010 (Cat # MAB6618) at 100,000 fold dilution.
- Validation comment
- Immunohistochemistry