Antibody data
- Antibody Data
- Antigen structure
- References [2]
- Comments [0]
- Validations
- Western blot [1]
- Immunohistochemistry [1]
- Flow cytometry [1]
Submit
Validation data
Reference
Comment
Report error
- Product number
- ABIN952082 - Provider product page

- Provider
- antibodies-online
- Product name
- anti-Heat Shock Protein 90kDa beta (Grp94), Member 1 (HSP90B1) (Center) antibody
- Antibody type
- Polyclonal
- Antigen
- Other
- Reactivity
- Human
- Host
- Rabbit
- Vial size
- 0.1 mg
Submitted references Variation at the NFATC2 locus increases the risk of thiazolidinedione-induced edema in the Diabetes REduction Assessment with ramipril and rosiglitazone Medication (DREAM) study.
Extracellular heat shock protein HSP90beta secreted by MG63 osteosarcoma cells inhibits activation of latent TGF-beta1.
Bailey SD, Xie C, Do R, Montpetit A, Diaz R, Mohan V, Keavney B, Yusuf S, Gerstein HC, Engert JC, Anand S, DREAM investigators
Diabetes care 2010 Oct;33(10):2250-3
Diabetes care 2010 Oct;33(10):2250-3
Extracellular heat shock protein HSP90beta secreted by MG63 osteosarcoma cells inhibits activation of latent TGF-beta1.
Suzuki S, Kulkarni AB
Biochemical and biophysical research communications 2010 Jul 30;398(3):525-31
Biochemical and biophysical research communications 2010 Jul 30;398(3):525-31
No comments: Submit comment
Supportive validation
- Submitted by
- antibodies-online (provider)
- Main image

- Experimental details
- Western blot analysis of Endoplasmin / HSP90B1 / TRA1 Antibody (Center) Cat.-No AP52118PU-N in K562, A549, Hela, NCI-H460, NCI-H292, ZR-75-1 cell line lysates (35ug/lane). This demonstrates the HSP90B1 antibody detected the HSP90B1 protein (arrow).
Supportive validation
- Submitted by
- antibodies-online (provider)
- Main image

- Experimental details
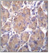
- Immunohistochemistry analysis in formalin fixed and paraffin embedded human stomach tissue reacted with Endoplasmin / HSP90B1 / TRA1 Antibody (Center) Cat.-No AP52118PU-N, which was peroxidase conjugated to the secondary antibody and followed by DAB staining.
Supportive validation
- Submitted by
- antibodies-online (provider)
- Main image

- Experimental details
- Flow cytometric analysis of A549 cells using Endoplasmin / HSP90B1 / TRA1 Antibody (Center) Cat.-No AP52118PU-N (right histogram) compared to a negative control cell (left histogram). FITC-conjugated goat-anti-rabbit secondary antibodies were used for the analysis