Antibody data
- Antibody Data
- Antigen structure
- References [0]
- Comments [0]
- Validations
- Immunohistochemistry [2]
Submit
Validation data
Reference
Comment
Report error
- Product number
- GTX31200 - Provider product page

- Provider
- GeneTex
- Product name
- PLGF antibody
- Antibody type
- Polyclonal
- Reactivity
- Human
- Host
- Rabbit
No comments: Submit comment
Supportive validation
- Submitted by
- GeneTex (provider)
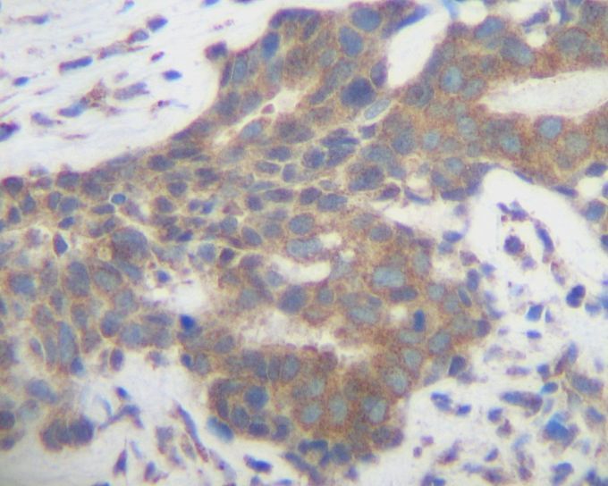
- Main image

- Experimental details
- IHC-P analysis of human breast invasive ductal carcinoma using PLGF antibody at a concentration of 2.0 £gg/ml. An HRP-labeled polymer detection system was used with a DAB chromogen. Heat induced antigen retrieval with a pH 6.0 sodium citrate buffer is recommended.
- Submitted by
- GeneTex (provider)
- Main image

- Experimental details
- IHC-P analysis of human breast invasive ductal carcinoma using PLGF antibody at a concentration of 2.0 £gg/ml. An HRP-labeled polymer detection system was used with a DAB chromogen. Heat induced antigen retrieval with a pH 6.0 sodium citrate buffer is recommended.