Antibody data
- Antibody Data
- Antigen structure
- References [0]
- Comments [0]
- Validations
- Western blot [1]
- Immunohistochemistry [1]
Submit
Validation data
Reference
Comment
Report error
- Product number
- TA341756 - Provider product page

- Provider
- OriGene
- Product name
- Rabbit Polyclonal Anti-Ehf Antibody
- Antibody type
- Polyclonal
- Description
- Rabbit Polyclonal Anti-Ehf Antibody
- Host
- Rabbit
- Conjugate
- Unconjugated
- Epitope
- EHF
- Isotype
- IgG
- Antibody clone number
- NULL
- Vial size
- 100 µl
- Concentration
- 1mg/ml
No comments: Submit comment
Supportive validation
- Submitted by
- OriGene (provider)
- Main image

- Experimental details
- WB Suggested Anti-Ehf Antibody Titration: 0.2-1 ug/ml; ELISA Titer: 1:312500; Positive Control: Mouse Brain
- Validation comment
- WB
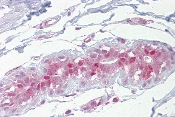
Supportive validation
- Submitted by
- OriGene (provider)
- Main image

- Experimental details
- Immunohistochemistry with Breast tissue at an antibody concentration of 5 ug/ml using anti-Ehf antibody
- Validation comment
- IHC