Antibody data
- Antibody Data
- Antigen structure
- References [1]
- Comments [0]
- Validations
- Western blot [1]
- Immunocytochemistry [3]
- Immunohistochemistry [4]
- Other assay [1]
Submit
Validation data
Reference
Comment
Report error
- Product number
- PA5-20513 - Provider product page

- Provider
- Invitrogen Antibodies
- Product name
- Cathelicidin Polyclonal Antibody
- Antibody type
- Polyclonal
- Antigen
- Synthetic peptide
- Description
- A suggested positive control is human spleen tissue lysate. PA5-20513 can be used with blocking peptide PEP-0633. The immunogen is located within amino acids 50 - 100 of Cathelicidin.
- Reactivity
- Human
- Host
- Rabbit
- Isotype
- IgG
- Vial size
- 100 μg
- Concentration
- 1 mg/mL
- Storage
- 4°C, do not freeze
Submitted references Phospholipid transfer protein and alpha-1 antitrypsin regulate Hck kinase activity during neutrophil degranulation.
Ochieng P, Nath S, Macarulay R, Eden E, Dabo A, Campos M, Jiang XC, Foronjy RF, Geraghty P
Scientific reports 2018 Oct 18;8(1):15394
Scientific reports 2018 Oct 18;8(1):15394
No comments: Submit comment
Supportive validation
- Submitted by
- Invitrogen Antibodies (provider)
- Main image

- Experimental details
- Western Blot analysis of Cathelicidin in Human spleen tissue lysate with Cathelicidin Polyclonal Antibody (Product # PA5-20513) at 1 µg/mL.
Supportive validation
- Submitted by
- Invitrogen Antibodies (provider)
- Main image

- Experimental details
- Immunofluorescent analysis of human spleen cells using a Cathelicidin polyclonal antibody (Product # PA5-20513) at a 20 µg/mL dilution.
- Submitted by
- Invitrogen Antibodies (provider)
- Main image

- Experimental details
- Immunofluorescence of Cathelicidin in Human Spleen cells with Cathelicidin Polyclonal Antibody (Product # PA5-20513) at 20 µg/mL.
- Submitted by
- Invitrogen Antibodies (provider)
- Main image

- Experimental details
- Immunofluorescence of Cathelicidin in Human Spleen cells with Cathelicidin Polyclonal Antibody (Product # PA5-20513) at 20 µg/mL.
Supportive validation
- Submitted by
- Invitrogen Antibodies (provider)
- Main image

- Experimental details
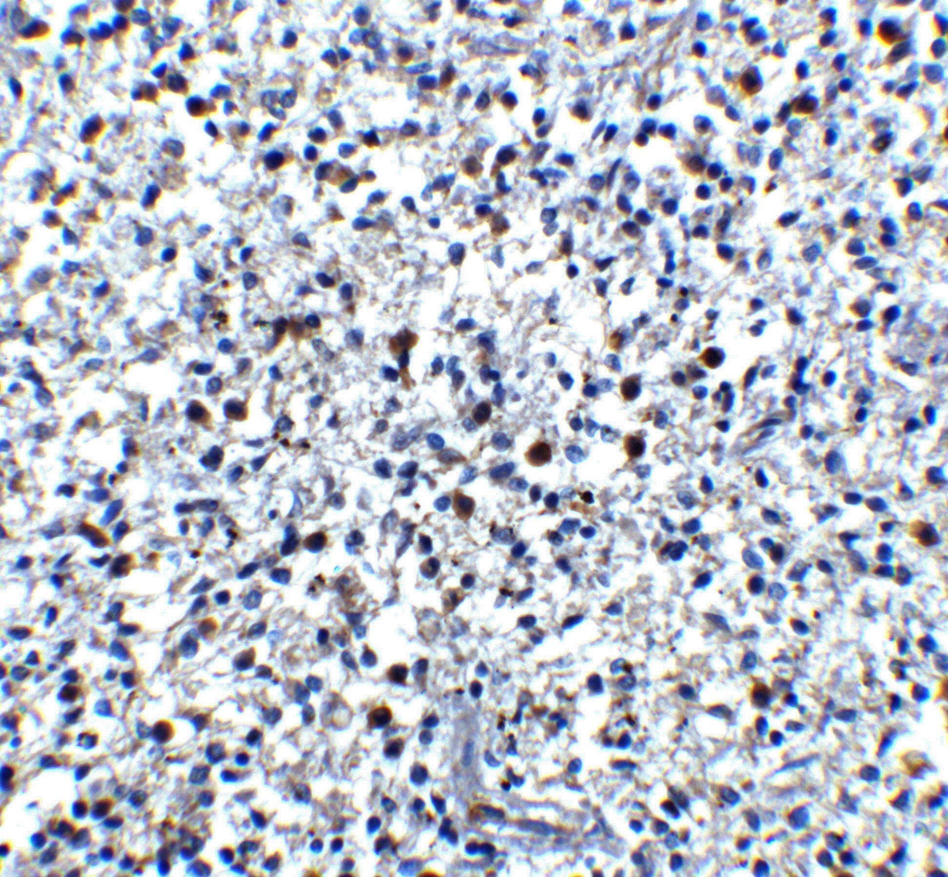
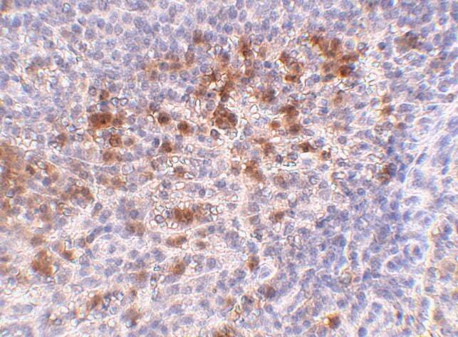
- Immunohistochemistry of Cathelicidin in human spleen tissue with Cathelicidin Polyclonal Antibody (Product # PA5-20513) at 5 µg/mL.
- Submitted by
- Invitrogen Antibodies (provider)
- Main image

- Experimental details
- Immunohistochemistry of Catheli-cidin in human spleen tissue with Cathelicidin Polyclonal Antibody (Product # PA5-20513) at 5 µg/mL.
- Submitted by
- Invitrogen Antibodies (provider)
- Main image

- Experimental details
- Immunohistochemistry of Cathelicidin in human spleen tissue with Cathelicidin Polyclonal Antibody (Product # PA5-20513) at 5 µg/mL.
- Submitted by
- Invitrogen Antibodies (provider)
- Main image

- Experimental details
- Immunohistochemistry of Catheli-cidin in human spleen tissue with Cathelicidin Polyclonal Antibody (Product # PA5-20513) at 5 µg/mL.
Supportive validation
- Submitted by
- Invitrogen Antibodies (provider)
- Main image

- Experimental details
- Figure 3 Loss of PLTP expression enhances neutrophil degranulation and superoxide production. Neutrophils were collected from C57BL/6 and Pltp -/- mice. Neutrophils were exposed to AAT (PiMM: a,c - e and PiZZ: b ) prior to fMLP at 37 degC for 30 minutes. Cell-free supernatants were collected and ( a , b ) primary (NE by ELISA and cathepsin G by substrate activity assay), ( c ) secondary (hCAP-18 and lactoferrin by immunoblots) and ( d ) tertiary (MMP9 by zymography) granules were evaluated. DU of the expression levels of each protein were quantified. ( b ) NE degranulation was recorded in fMLP and PiZZ AAT stimulated neutrophils to determine if PiZZ prevent degranulation. ( e ) A reduced cytochrome c assay was used to determine production of O 2 - by neutrophils. N = 5 animal per group. Each measurement is the mean +- SEM. *Denotes a p value < 0.05, when comparing both treatments connected by a line, determined by ANOVA with Tukey's post hoc test.