Antibody data
- Antibody Data
- Antigen structure
- References [4]
- Comments [0]
- Validations
- Western blot [2]
- Immunohistochemistry [5]
Submit
Validation data
Reference
Comment
Report error
- Product number
- NBP1-81000 - Provider product page

- Provider
- Novus Biologicals
- Proper citation
- Novus Cat#NBP1-81000, RRID:AB_11027763
- Product name
- Rabbit Polyclonal NFIB Antibody
- Antibody type
- Polyclonal
- Description
- Immunogen affinity purified. Specificity of human NFIB antibody verified on a Protein Array containing target protein plus 383 other non-specific proteins.
- Reactivity
- Human, Mouse, Rat
- Host
- Rabbit
- Isotype
- IgG
- Vial size
- 0.1 ml
- Storage
- Store at 4C short term. Aliquot and store at -20C long term. Avoid freeze-thaw cycles.
Submitted references PAX6 does not regulate Nfia and Nfib expression during neocortical development.
NFI transcription factors interact with FOXA1 to regulate prostate-specific gene expression.
MiR-153 targets the nuclear factor-1 family and protects against teratogenic effects of ethanol exposure in fetal neural stem cells.
NFIB-mediated repression of the epigenetic factor Ezh2 regulates cortical development.
Bunt J, Lim JW, Zhao L, Mason S, Richards LJ
Scientific reports 2015 May 29;5:10668
Scientific reports 2015 May 29;5:10668
NFI transcription factors interact with FOXA1 to regulate prostate-specific gene expression.
Grabowska MM, Elliott AD, DeGraff DJ, Anderson PD, Anumanthan G, Yamashita H, Sun Q, Friedman DB, Hachey DL, Yu X, Sheehan JH, Ahn JM, Raj GV, Piston DW, Gronostajski RM, Matusik RJ
Molecular endocrinology (Baltimore, Md.) 2014 Jun;28(6):949-64
Molecular endocrinology (Baltimore, Md.) 2014 Jun;28(6):949-64
MiR-153 targets the nuclear factor-1 family and protects against teratogenic effects of ethanol exposure in fetal neural stem cells.
Tsai PC, Bake S, Balaraman S, Rawlings J, Holgate RR, Dubois D, Miranda RC
Biology open 2014 Jul 25;3(8):741-58
Biology open 2014 Jul 25;3(8):741-58
NFIB-mediated repression of the epigenetic factor Ezh2 regulates cortical development.
Piper M, Barry G, Harvey TJ, McLeay R, Smith AG, Harris L, Mason S, Stringer BW, Day BW, Wray NR, Gronostajski RM, Bailey TL, Boyd AW, Richards LJ
The Journal of neuroscience : the official journal of the Society for Neuroscience 2014 Feb 19;34(8):2921-30
The Journal of neuroscience : the official journal of the Society for Neuroscience 2014 Feb 19;34(8):2921-30
No comments: Submit comment
Supportive validation
- Submitted by
- Novus Biologicals (provider)
- Main image

- Experimental details
- Western Blot: NFIB Antibody [NBP1-81000] - Analysis in mouse cell line NIH-3T3 and rat cell line NBT-II.
- Submitted by
- Novus Biologicals (provider)
- Main image

- Experimental details
- Western Blot: NFIB Antibody [NBP1-81000] - Analysis in human cell line SH-SY5Y.
Supportive validation
- Submitted by
- Novus Biologicals (provider)
- Main image

- Experimental details
- Immunohistochemistry-Paraffin: NFIB Antibody [NBP1-81000] - Staining of human heart muscle shows strong nuclear positivity in myocytes.
- Submitted by
- Novus Biologicals (provider)
- Main image

- Experimental details
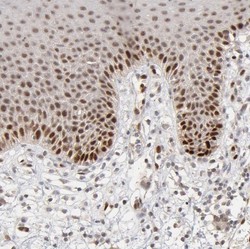
- Immunohistochemistry-Paraffin: NFIB Antibody [NBP1-81000] - Staining of human skin shows moderate nuclear positivity in squamous epithelial cells.
- Submitted by
- Novus Biologicals (provider)
- Main image

- Experimental details
- Immunohistochemistry-Paraffin: NFIB Antibody [NBP1-81000] - Staining of human prostate shows moderate nuclear positivity in glandular cells.
- Submitted by
- Novus Biologicals (provider)
- Main image

- Experimental details
- Immunohistochemistry-Paraffin: NFIB Antibody [NBP1-81000] - Staining of human pancreas shows moderate nuclear positivity in exocrine glandular cells.
- Submitted by
- Novus Biologicals (provider)
- Main image

- Experimental details
- Immunohistochemistry-Paraffin: NFIB Antibody [NBP1-81000] - Staining of human cerebral cortex shows moderate nuclear positivity in neurons.