Antibody data
- Antibody Data
- Antigen structure
- References [1]
- Comments [0]
- Validations
- Western blot [1]
- Immunohistochemistry [1]
Submit
Validation data
Reference
Comment
Report error
- Product number
- NBP1-30928 - Provider product page

- Provider
- Novus Biologicals
- Proper citation
- Novus Cat#NBP1-30928, RRID:AB_2125870
- Product name
- Rabbit Polyclonal Activin A Antibody
- Antibody type
- Polyclonal
- Description
- Antigen Affinity-purified.
- Reactivity
- Human
- Host
- Rabbit
- Isotype
- IgG
- Vial size
- 100 ul
- Storage
- Store at 4C short term. Aliquot and store at -20C long term. Avoid freeze-thaw cycles.
Submitted references Metastatic breast cancer cells overexpress and secrete miR-218 to regulate type I collagen deposition by osteoblasts.
Liu X, Cao M, Palomares M, Wu X, Li A, Yan W, Fong MY, Chan WC, Wang SE
Breast cancer research : BCR 2018 Oct 22;20(1):127
Breast cancer research : BCR 2018 Oct 22;20(1):127
No comments: Submit comment
Supportive validation
- Submitted by
- Novus Biologicals (provider)
- Main image

- Experimental details
- Western Blot: Activin A Antibody [NBP1-30928] - Various whole cell extracts (30 ug) were separated by 10% SDS-PAGE, and the membrane was blotted with Inhibin beta A antibody diluted at 1:1000. The HRP-conjugated anti-rabbit IgG antibody (NBP2-19301) was used to detect the primary antibody.
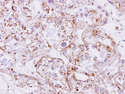
Supportive validation
- Submitted by
- Novus Biologicals (provider)
- Main image

- Experimental details
- Immunohistochemistry-Paraffin: Activin A Antibody [NBP1-30928] - CLEAR CELL OVCA xenograft, using Inhibin beta A antibody at 1:500 dilution. Antigen Retrieval: Trilogy™ (EDTA based, pH 8.0) buffer, 15min