Antibody data
- Antibody Data
- Antigen structure
- References [0]
- Comments [0]
- Validations
- Western blot [3]
- Immunocytochemistry [1]
- Immunohistochemistry [3]
Submit
Validation data
Reference
Comment
Report error
- Product number
- ABIN614699 - Provider product page

- Provider
- antibodies-online
- Product name
- anti-GTPase Activating Protein (SH3 Domain) Binding Protein 1 (G3BP1) (AA 214-303) antibody
- Antibody type
- Monoclonal
- Description
- Protein A Chromatography
- Reactivity
- Human
- Host
- Mouse
- Epitope
- AA 214-303
- Isotype
- IgG
- Antibody clone number
- 2F3
- Vial size
- 50 μg
- Storage
- -20°C
- Handling
- Avoid repeated freezing and thawing.
No comments: Submit comment
Supportive validation
- Submitted by
- antibodies-online (provider)
- Main image

- Experimental details
- WB
- Submitted by
- antibodies-online (provider)
- Main image

- Experimental details
- WB
- Submitted by
- antibodies-online (provider)
- Main image

- Experimental details
- WB
Supportive validation
- Submitted by
- antibodies-online (provider)
- Main image

- Experimental details
- Image(s): Immunofluorescence
Supportive validation
- Submitted by
- antibodies-online (provider)
- Main image

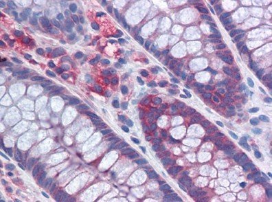
- Experimental details
- IHC
- Submitted by
- antibodies-online (provider)
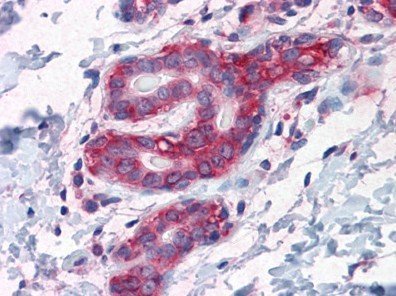
- Main image

- Experimental details
- IHC
- Submitted by
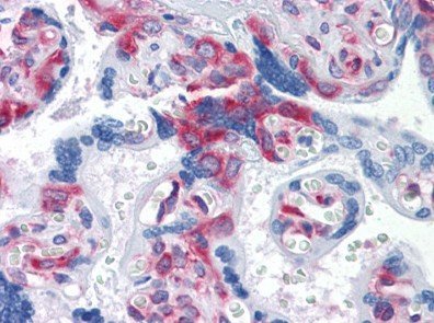
- antibodies-online (provider)
- Main image

- Experimental details
- IHC