Antibody data
- Antibody Data
- Antigen structure
- References [0]
- Comments [0]
- Validations
- Western blot [1]
- Immunohistochemistry [16]
Submit
Validation data
Reference
Comment
Report error
- Product number
- MA5-26602 - Provider product page

- Provider
- Invitrogen Antibodies
- Product name
- ZNF286A Monoclonal Antibody (OTI7D2)
- Antibody type
- Monoclonal
- Antigen
- Recombinant protein fragment
- Reactivity
- Human
- Host
- Mouse
- Isotype
- IgG
- Antibody clone number
- OTI7D2
- Vial size
- 100 μL
- Concentration
- 1 mg/mL
- Storage
- -20°C, Avoid Freeze/Thaw Cycles
No comments: Submit comment
Supportive validation
- Submitted by
- Invitrogen Antibodies (provider)
- Main image

- Experimental details
- Western blot analysis of ZNF286A in HEK293T cells in untransfected (Left lane) and transfected (Right lane) samples using 5 µg per lane. The samples were separated by SDS-PAGE and probed with ZNF286A (Product # MA5-26602) monoclonal antibody.
Supportive validation
- Submitted by
- Invitrogen Antibodies (provider)
- Main image

- Experimental details
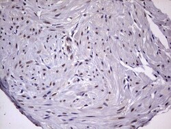
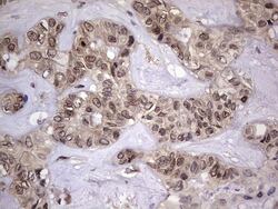
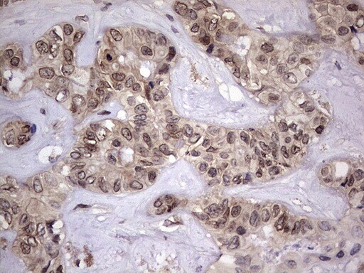
- Immunohistochemical analysis of ZNF286A in paraffin-embedded adenocarcinoma of human breast tissue using a ZNF286A monoclonal antibody (Product # MA5-26602) at a dilution of 1:150.
- Submitted by
- Invitrogen Antibodies (provider)
- Main image

- Experimental details
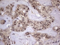
- Immunohistochemical analysis of ZNF286A in paraffin-embedded adenocarcinoma of human colon tissue using a ZNF286A monoclonal antibody (Product # MA5-26602) at a dilution of 1:150.
- Submitted by
- Invitrogen Antibodies (provider)
- Main image

- Experimental details
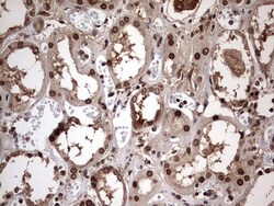
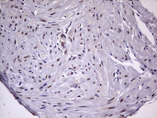
- Immunohistochemical analysis of ZNF286A in paraffin-embedded human kidney tissue using a ZNF286A monoclonal antibody (Product # MA5-26602) at a dilution of 1:150.
- Submitted by
- Invitrogen Antibodies (provider)
- Main image

- Experimental details
- Immunohistochemical analysis of ZNF286A in paraffin-embedded carcinoma of human kidney tissue using a ZNF286A monoclonal antibody (Product # MA5-26602) at a dilution of 1:150.
- Submitted by
- Invitrogen Antibodies (provider)
- Main image

- Experimental details
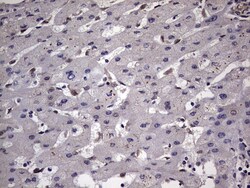
- Immunohistochemical analysis of ZNF286A in paraffin-embedded human liver tissue using a ZNF286A monoclonal antibody (Product # MA5-26602) at a dilution of 1:150.
- Submitted by
- Invitrogen Antibodies (provider)
- Main image

- Experimental details
- Immunohistochemical analysis of ZNF286A in paraffin-embedded carcinoma of human liver tissue using a ZNF286A monoclonal antibody (Product # MA5-26602) at a dilution of 1:150.
- Submitted by
- Invitrogen Antibodies (provider)
- Main image

- Experimental details
- Immunohistochemical analysis of ZNF286A in paraffin-embedded human lung tissue using a ZNF286A monoclonal antibody (Product # MA5-26602) at a dilution of 1:150.
- Submitted by
- Invitrogen Antibodies (provider)
- Main image

- Experimental details
- Immunohistochemical analysis of ZNF286A in paraffin-embedded carcinoma of human lung tissue using a ZNF286A monoclonal antibody (Product # MA5-26602) at a dilution of 1:150.
- Submitted by
- Invitrogen Antibodies (provider)
- Main image

- Experimental details
- Immunohistochemical analysis of ZNF286A in paraffin-embedded carcinoma of human thyroid tissue using a ZNF286A monoclonal antibody (Product # MA5-26602) at a dilution of 1:150.
- Submitted by
- Invitrogen Antibodies (provider)
- Main image

- Experimental details
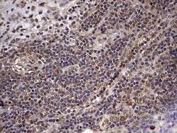
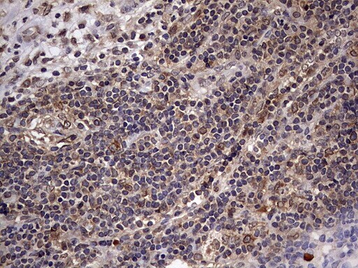
- Immunohistochemical analysis of ZNF286A in paraffin-embedded human lymph node tissue using a ZNF286A monoclonal antibody (Product # MA5-26602) at a dilution of 1:150.
- Submitted by
- Invitrogen Antibodies (provider)
- Main image

- Experimental details
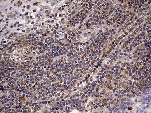
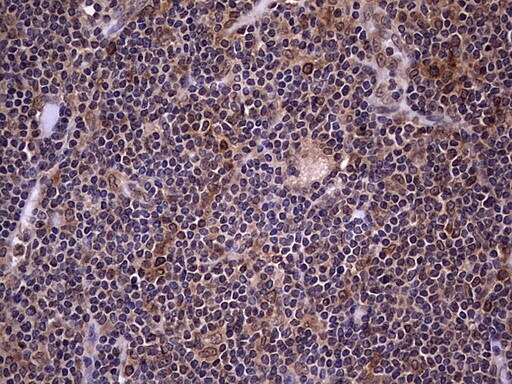
- Immunohistochemical analysis of ZNF286A in paraffin-embedded human lymphoma tissue using a ZNF286A monoclonal antibody (Product # MA5-26602) at a dilution of 1:150.
- Submitted by
- Invitrogen Antibodies (provider)
- Main image

- Experimental details
- Immunohistochemical analysis of ZNF286A in paraffin-embedded human tonsil tissue using a ZNF286A monoclonal antibody (Product # MA5-26602) at a dilution of 1:150.
- Submitted by
- Invitrogen Antibodies (provider)
- Main image

- Experimental details
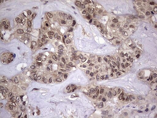
- Immunohistochemical analysis of ZNF286A in paraffin-embedded carcinoma of human kidney tissue using a ZNF286A monoclonal antibody (Product # MA5-26602) at a dilution of 1:150.
- Submitted by
- Invitrogen Antibodies (provider)
- Main image

- Experimental details
- Immunohistochemical analysis of ZNF286A in paraffin-embedded carcinoma of human liver tissue using a ZNF286A monoclonal antibody (Product # MA5-26602) at a dilution of 1:150.
- Submitted by
- Invitrogen Antibodies (provider)
- Main image

- Experimental details
- Immunohistochemical analysis of ZNF286A in paraffin-embedded human lymph node tissue using a ZNF286A monoclonal antibody (Product # MA5-26602) at a dilution of 1:150.
- Submitted by
- Invitrogen Antibodies (provider)
- Main image

- Experimental details
- Immunohistochemical analysis of ZNF286A in paraffin-embedded human lymphoma tissue using a ZNF286A monoclonal antibody (Product # MA5-26602) at a dilution of 1:150.