Antibody data
- Antibody Data
- Antigen structure
- References [3]
- Comments [0]
- Validations
- Western blot [1]
- Immunocytochemistry [1]
- Immunohistochemistry [2]
Submit
Validation data
Reference
Comment
Report error
- Product number
- 15074-1-AP - Provider product page

- Provider
- Proteintech Group
- Proper citation
- Proteintech Cat#15074-1-AP, RRID:AB_2163903
- Product name
- PI4K2B antibody
- Antibody type
- Polyclonal
- Description
- PI4K2B antibody (Cat. #15074-1-AP) is a rabbit polyclonal antibody that shows reactivity with human, mouse, rat and has been validated for the following applications: IF, IHC, WB,ELISA.
- Reactivity
- Human, Mouse, Rat
- Host
- Rabbit
- Conjugate
- Unconjugated
- Isotype
- IgG
- Vial size
- 20ul, 150ul
Submitted references The identification of a two-gene prognostic model based on cisplatin resistance-related ceRNA network in small cell lung cancer.
FKBP51 plays an essential role in Akt ubiquitination that requires Hsp90 and PHLPP.
Defining the proximal interaction networks of Arf GTPases reveals a mechanism for the regulation of PLD1 and PI4KB.
Zhang Y, Zhu Q, Qi J, Fu M, Xu A, Wang W, Wang H, Nie J, Hong B
BMC medical genomics 2023 May 15;16(1):103
BMC medical genomics 2023 May 15;16(1):103
FKBP51 plays an essential role in Akt ubiquitination that requires Hsp90 and PHLPP.
Tufano M, Marrone L, D'Ambrosio C, Di Giacomo V, Urzini S, Xiao Y, Matuozzo M, Scaloni A, Romano MF, Romano S
Cell death & disease 2023 Feb 13;14(2):116
Cell death & disease 2023 Feb 13;14(2):116
Defining the proximal interaction networks of Arf GTPases reveals a mechanism for the regulation of PLD1 and PI4KB.
Li FL, Wu Z, Gao YQ, Bowling FZ, Franklin JM, Hu C, Suhandynata RT, Frohman MA, Airola MV, Zhou H, Guan KL
The EMBO journal 2022 Sep 1;41(17):e110698
The EMBO journal 2022 Sep 1;41(17):e110698
No comments: Submit comment
Supportive validation
- Submitted by
- Proteintech Group (provider)
- Main image

- Experimental details
- HepG2 cells were subjected to SDS PAGE followed by western blot with 15074-1-AP(PI4K2B antibody) at dilution of 1:400
- Sample type
- cell line
Supportive validation
- Submitted by
- Proteintech Group (provider)
- Main image

- Experimental details
- Immunofluorescent analysis of HepG2 cells, using PI4K2B antibody 15074-1-AP at 1:25 dilution and Rhodamine-labeled goat anti-rabbit IgG (red).
- Sample type
- cell line
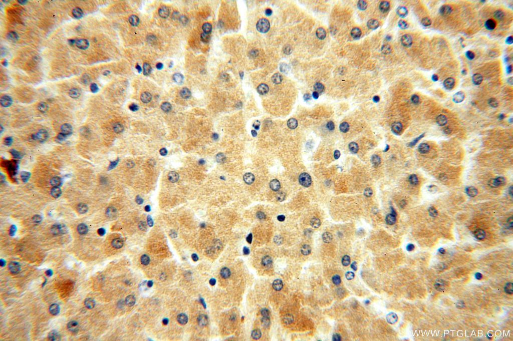
Supportive validation
- Submitted by
- Proteintech Group (provider)
- Main image

- Experimental details
- Immunohistochemical of paraffin-embedded human liver using 15074-1-AP(PI4K2B antibody) at dilution of 1:100 (under 40x lens)
- Sample type
- tissue
- Submitted by
- Proteintech Group (provider)
- Main image

- Experimental details
- Immunohistochemical of paraffin-embedded human liver using 15074-1-AP(PI4K2B antibody) at dilution of 1:100 (under 10x lens)
- Sample type
- tissue